의료상담
(치과자료 첨부) 반대교합,주걱턱 검사 및 돌출입 교정상담
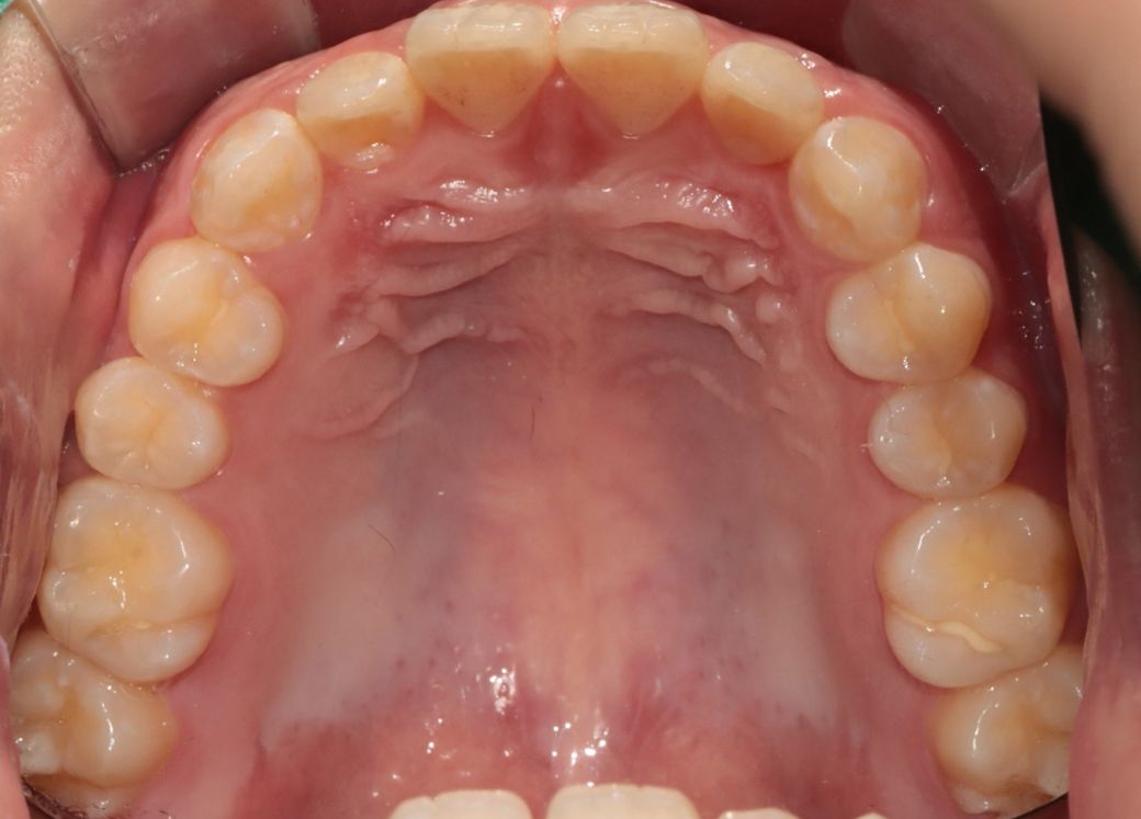
치과 자료받았는데 이상 있어보이는 점이나 다른 의견또는 비슷한의견 이신지 알고싶습니다
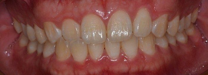
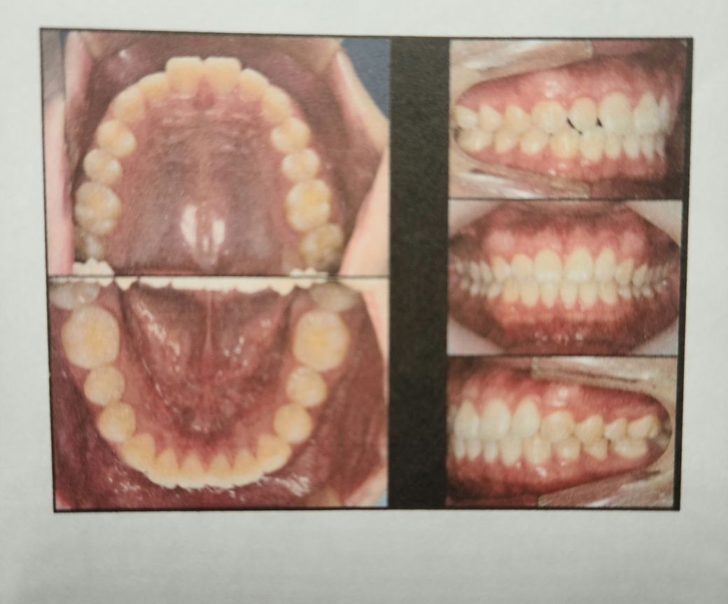
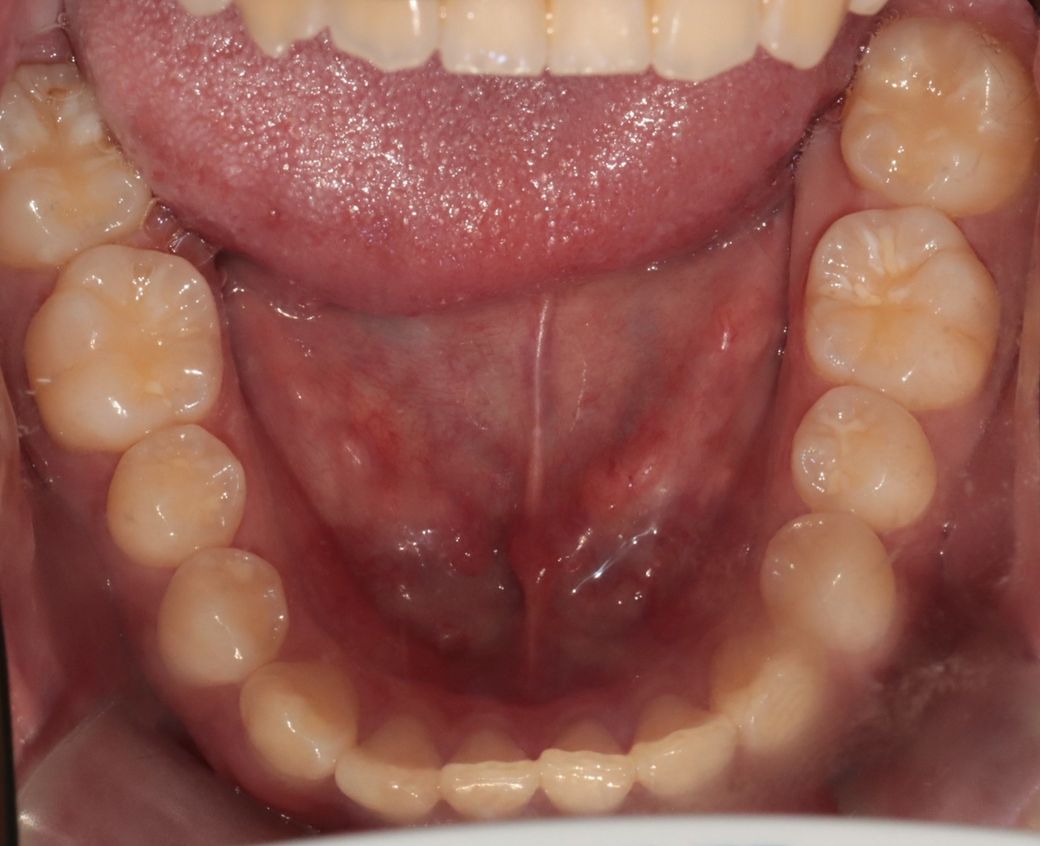
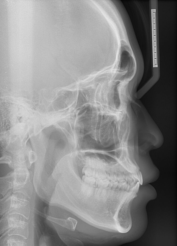
(스케일링, 주걱턱검사, 하악긴턱 및 돌출입 교정때문에 방문했으나 치근 및 전체적인 치아각도 때문에 전체교정 추천 안 하셨음)
A치과) 상악에 비해 하악이 긴편이나 정상범위라고 볼수 있어 주걱턱은 아니라고 봅니다. 그래서 수술적 치료는 필요치 않아 보입니다. 치아상태는 전치부 총생 및 전방경사가 있고 상악 우측절치 반대교합이 있다 장기적으로는 좋지못하다. 앞니 부분교정 또는 인비절추천
55글자 더 채워주세요.
1개의 답변이 있어요!
안녕하세요. 정진석 치과의사입니다.
대부분의 경미한 부정교합은 사람마다 있습니다. 치축 경사나 여러가지 상황을 보았을 때 정상범주이며 일부 양쪽 턱관절이 비대칭으로 발생한 턱관절 틀어짐으로 보여집니다. 이 역시 정상범주이며 예민하신 분이 아니라면 살아가는데 크게 불편감이 없어 보입니다. 인비절라인을 하더라도 크게 개선되지 않을 수 있어 보이며 신중하게 하셔야 할 것으로 보입니다.
아무쪼록 저의 답변이 문제 해결에 작게 나마 도움이 될 수 있기를 기원드립니다. 항상 건강하고, 행복하세요^^
정진석 치과의사 드림

