아하
  • 토픽

  • 스파링

  • 잉크

  • 미션


의료상담

가끔순수한케첩

가끔순수한케첩

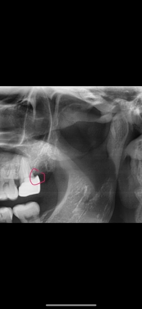
크라운 부착했는데 틈이 있는거 같아요

크라운 최종 부착 했는데 다른병원가서 엑스레이 찍었더니 크라운에 틈이 있다네요?? 그리고 접착제도 제대로 제거 안해놔서 다른병원에서 긁어주셨구요

마진도 이상한거죠??

  • 1번 째 사진
  • 2번 째 사진
  • 3번 째 사진

3개의 답변이 있어요!

  • 김지훈 치과의사

    김지훈 치과의사

    메가

    안녕하세요. 김지훈 치과의사입니다.

    경계 부위 적합도가 떨어지는 것으로 보이지만 부착당시 잇몸 상태 등 고려해야할 것들이 많습니다.

  • 안녕하세요. 김철진 치과의사입니다.

    장착하신지 얼마 안되신상태라면 치과에 가셔서 체크를 받아보세요. 잇몸이 회복되면 괜찮아 지는 경우도 있습니다.

  • 안녕하세요. 안상우 치과의사입니다.

    사진으로 봤을 경우에는 경계부위가 떠있는것으로 보입니다.

    잇몸에 출혈이 많거나 접근도가 좋지 않은 경우 경계부위가 적합이 되지 않을수도 있습니다.

    경계부위의 적합이 잘 되지 않으면 나중에 해당부위에 음식물이 끼게 되어 충치가 진행될수 있기 때문에 보철물을 다시 제작해 주는것이 좋습니다.

    자세한 확인을 위해서 치과에서 진료를 받아보세요.