아하
  • 토픽

  • 스파링

  • 잉크

  • 미션


의료상담

은근히공부하는마카롱

은근히공부하는마카롱

25.06.25

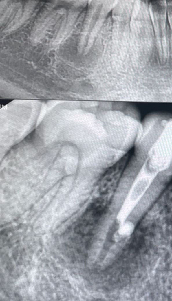
치아 염증 발치 해야할까요ㅠㅠㅠㅠㅠ???

안녕하세요 몇 달 전 치과 검진 차원으로 몇 년만에 치과에 가서 엑스레이를 찍었더니 치아에 큰 염증이 있다고 해서 신경치료를 진행 중 입니다. 저번에 약을 넣고 상태를 봤는데 엑스레이상으로 약이 새어나간 거 같다고 상태가 좋지 않아 발치를 해아할 수도 있을 거 같다 하셨습니다. 지금은 상태를 아직 지켜보는 중이고 8월달에 다시 치과를 가야하는데 며칠째 신경치료 한 이빨 부분이 가끔가다 찌릿한 느낌이 드는데 괜찮은 건지, 정말 발치를 해야하는지, 만약 발치를 한다면 통증은 얼만한지 궁금해요

  • 1번 째 사진

2개의 답변이 있어요!

  • 김철진 치과의사

    김철진 치과의사

    가까운우리치과

    25.06.26

    안녕하세요. 김철진 치과의사입니다.

    엑스레이 상으로도 치아 뿌리끝에 염증이 심한거 같습니다 .신경치료를 여러번 해도 증상이 호전되지 않으면 발치를 하시는게 좋을것같습니다.

  • 안녕하세요. 최석민 치과의사입니다.

    염증이 점차 줄어들고 잇몸뼈가 차오를지 이제 지켜봐야 합니다 단기간에 판단할수는 없고요

    발치 자체는 마취 잘되면 통증 없습니다