아하
  • 홈

  • 토픽

  • 스파링

  • 잉크

  • 미션


  • 전문가 신청

  • 베리몰

육아

기타 육아상담

꽃다운집게벌레67

꽃다운집게벌레67

23.12.18

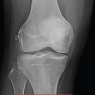
안녕하세요 현재 중3 남학생 입니다.

현재 중3 남학생 입니다. 만:15세

현재키는 169~170cm입니다 몸무게는 73kg~74kg정도 됩니다 밑에 사진을 보고 성인이 됬을때 최종키가 얼마나 됬을지 알려주세요 그리고 골 연령 나이도 알려주시면 감사하겠습니다 부모님키:아버지:170cm 어머니:160cm 입니다



아직 답변이 없어요.

모두 우승! 무승부 운동회
적절한가?

2,918명 투표 중

모두 우승! 무승부 운동회 적절한가?

16 : 13 : 20 남음

참여하기

전문가들의 생각, 잉크

  • 법률

    직장내 성희롱 피해자 손해배상 1천만원 성공사례

    류원용 변호사 프로필 사진

    류원용 변호사

    2

    1

    1,532

    직장내 성희롱 피해자 손해배상 1천만원 성공사례

  • 법률

    카메라 몰래 찍었는데 처벌받을까? — 카촬죄 성립요건·처벌수위·합의전략 완전 정리

    안선우 변호사 프로필 사진

    안선우 변호사

    3

    0

    1,069

    카메라 몰래 찍었는데 처벌받을까? — 카촬죄 성립요건·처벌수위·합의전략 완전 정리

  • 보험

    자동차 보험의 자기신체사고담보와 자동차상해담보

    이영찬 손해사정사 프로필 사진

    이영찬 손해사정사

    0

    0

    215

    자동차 보험의 자기신체사고담보와 자동차상해담보

유사한 질문이 있어요.

  • 안녕하세요 현재 중3 남학생 입니다 성장판 관련 질문입니다.

  • 중3 남학생 키 관련 질문 입니다

  • 고등학생 남자아이 예상키와 몇 세까지 성장하는지 알려주세요

  • 중3 남학생 2차 성장 관련 질문입니다

  • 개인정보처리방침

  • 이용약관

  • 서비스 소개

  • 커뮤니티 보상 시스템 소개

  • 광고 문의