의료상담
충치 치료 치과마다 의견의 다릅니다 ㅠㅠ
평상시에 양치칠, 치실 매번 사용합니다
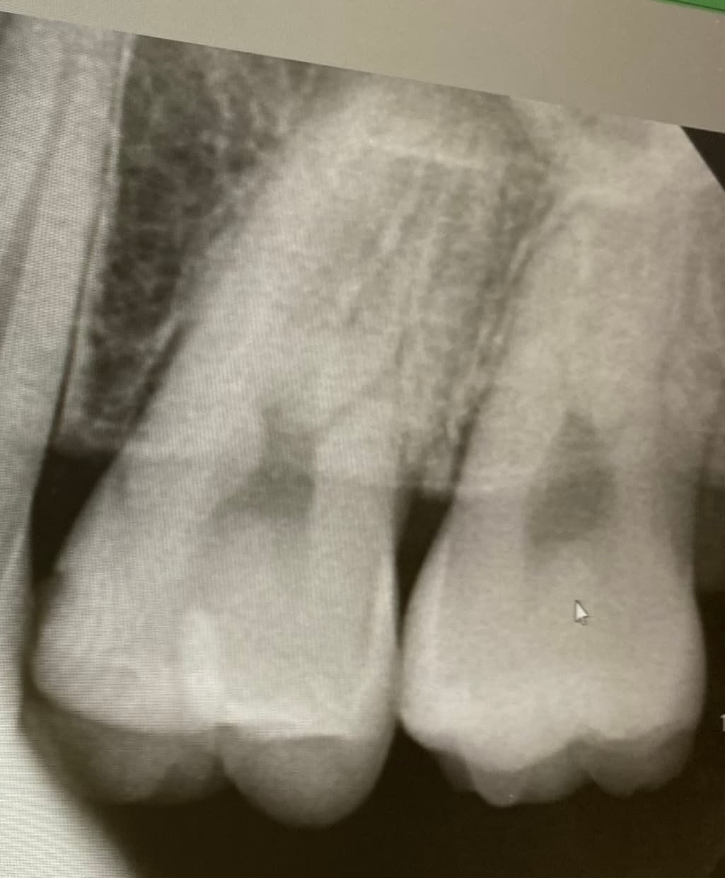
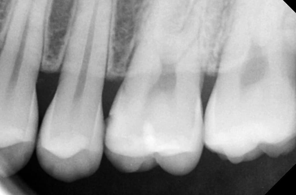
1치과는 충치가 있는 것 같다 양 옆 색상 차이가 있다 눈으로 확인 되는 정도라면 치료 해야 할 시기이다
위치 왼쪽 위 2번째 어금니 치료 한 부위 2차 충치
왼쪽 위 4번째와 3번째 사이 인접면 충치
2치과는 엑스레이로 찍어보고 육안으로 봐도
치료할 정도는 아니고 성인이니 검진 주기를 짧게 해서경과를 지켜보자
3치과는 엑스레이와 육안검사 확대 엑스레이 까지
찍었지만 너무 작다 자신들이 치료하는 기준에
미치지 못해서 치료하지 않고 경과를 지켜보자
모두 다 납득이 가는 진료라 너무 고민됩니다
유튜브를 찾아보니 양 옆 치아색이 다를경우
대부분 치료를 하더라고요..
질문1 치료를 할지 주기적 검진을 받을지
질문2 인레이로 할지 레진으로 할지
질문3 레진은 방습 방진? 처리가 중요 하다는데
치과마다 실력이 크게 차이 날까요?
애매한 답변보다 하라 말아라 가 듣고 싶습니다 ㅠㅠ
55글자 더 채워주세요.
3개의 답변이 있어요!
안녕하세요. 김철진 치과의사입니다.
사진에 보이는 정도면 충치가 안쪽에 많이 진행됫을 가능성이 있습니다. 저라면 인레이로 치료를 할것같습니다.
안녕하세요. 안상우 치과의사입니다.
육안으로 보였을 경우 인절면에 충치가 있는 것으로 보입니다. 하지만 방사선상에는 크게 보이진 않습니다. 눈으로 보이는 충치가 있기 때문에 인접면 충치는 치료를 하는 것이 좋을 것으로 생각됩니다.
안녕하세요. 김지훈 치과의사입니다.
레진보다는 인레이를 하는 것이 일반적이며 레진은 술자를 잘 선택하셔야 합니다. 치료는 필요해보입니다.

