아하
  • 토픽

  • 스파링

  • 잉크

  • 미션


의료상담

참신한바구미10

참신한바구미10

부비동 어딘가에 콧물이 가득 찬 것 같습니다. 치료가 가능할까요?

성별

남성

나이대

35

복용중인 약

피나스테리드

벌써 15년이 지난 병이고, 정말 여러군데의 병원을 다녔었는데

지방종이다, 뼈다 등등 의견이 다 다르고 치료는 못받았었습니다...

그래도 15년이나 지났으니까 기술도 발전했고, 이제는 반드시 치료하고 싶습니다.

증상은 15년 전에 진한 콧물을 어거지로 빨아당긴 뒤로 (전 콧물이 확실하다고 생각합니다)

귀와 코 중간쯤에 꽉 막힌듯한 느낌이 24시간 한시도 빠짐없이 들고 있습니다...

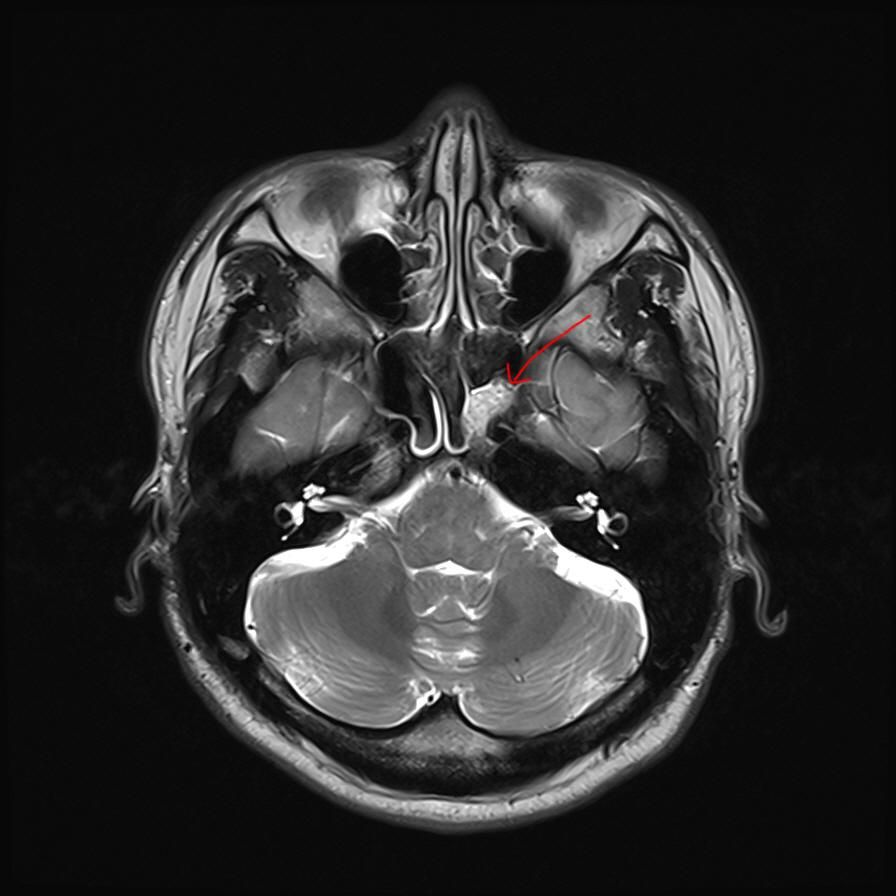
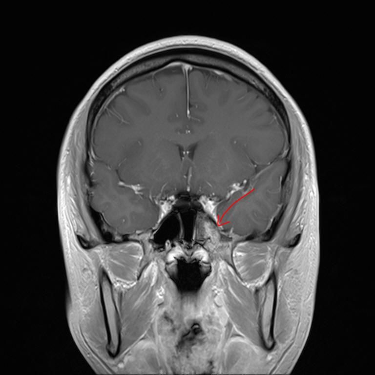
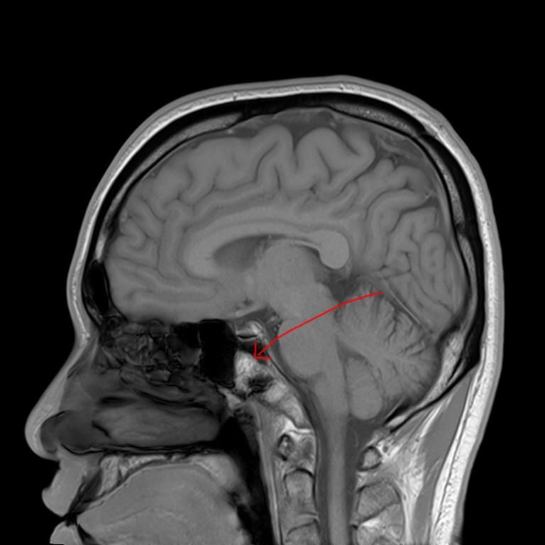
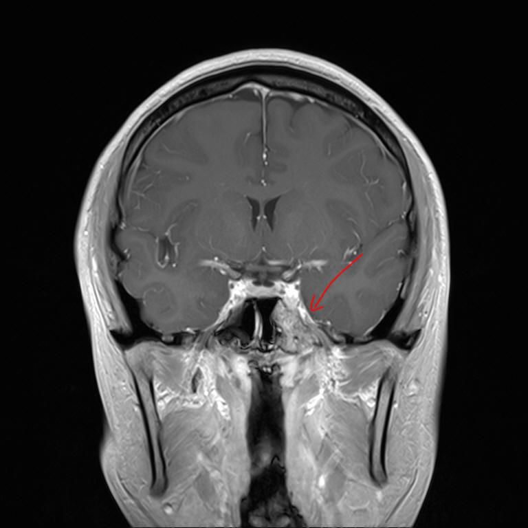
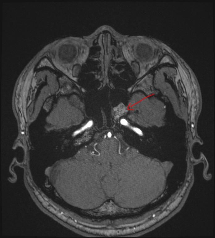
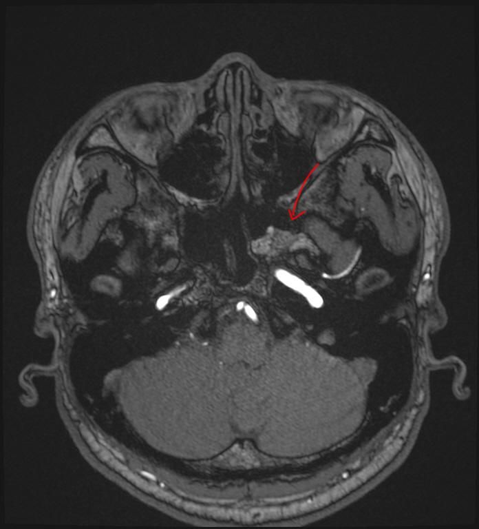
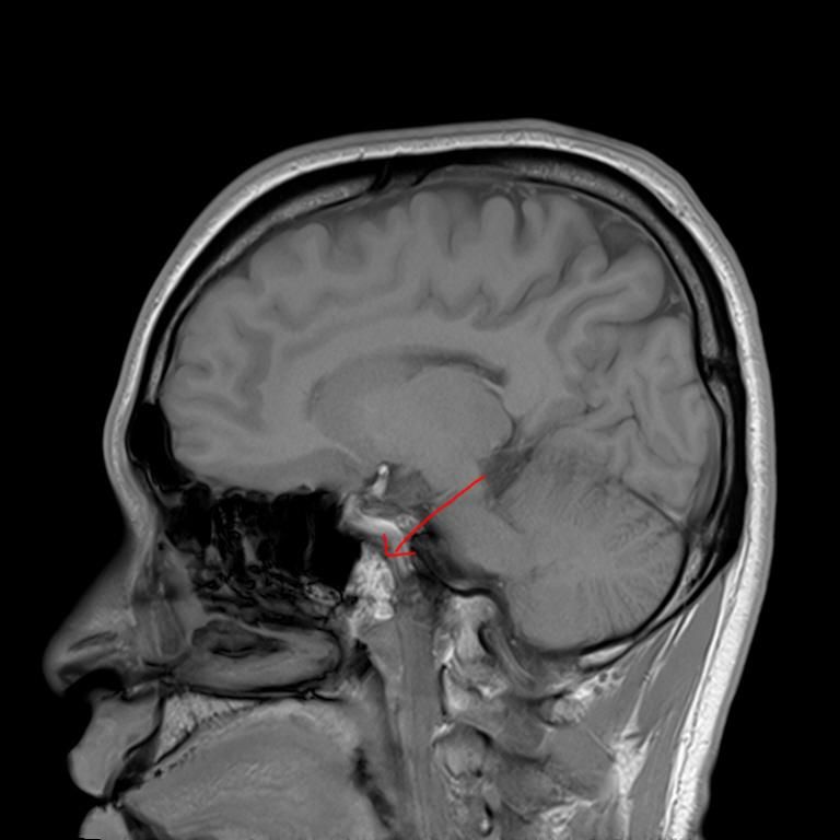
mri 사진을 봤을 때 정확히 어디가 막힌 걸까요? 그리고 치료는 할 수 있는 걸까요???

15년 동안 너무 고통받았습니다...

답변 부탁드립니다 선생님...

  • 1번 째 사진
  • 2번 째 사진
  • 3번 째 사진
  • 4번 째 사진
  • 5번 째 사진
  • 6번 째 사진
  • 7번 째 사진

1개의 답변이 있어요!

  • 김수비 의사

    김수비 의사

    QUB

    안녕하세요. 김수비 의사입니다.

    올려주신 영상 관련 보다 더 자세한 분석 원하시면 영상의학과 전문의한테 물어보셔야 해요

    말씀하신 증상 관련 답변 드리자면 15년동안 지속된 귀와 코 사이 막힘 증상은 이관(유스타키오관) 기능 장애일 가능성이 높습니다. 진한 콧물을 강하게 들이마신 후부터 증상이 생겼다면, 이관이 분비물이나 압력 변화로 막히거나 손상되었을 가능성이 있습니다. 이관은 코 뒤쪽과 귀 중이를 연결하는 통로로, 막히면 귀먹먹함, 압력감, 울림 증상 등이 지속될 수 있습니다. MRI나 CT를 통해 이관 주변 구조(비인두, 부비동, 중이강 등)의 해부학적 이상을 더 정확히 확인해야 합니다.

    현재는 내시경, 고해상도 CT, 이관 기능검사 등 진단 기술이 과거보다 훨씬 정밀해졌고, 증상에 따라 이관 풍선확장술, 내시경 하 비인두 수술 등 다양한 치료 방법이 가능해졌습니다. 15년이 지나도 충분히 치료 가능성이 있으니, 이비인후과 중에서도 두개저, 이관 관련 전문의가 있는 병원을 찾아 재평가 받는 것이 좋습니다.