아하
  • 토픽

  • 스파링

  • 잉크

  • 미션


의료상담

때론잘먹는주먹밥

때론잘먹는주먹밥

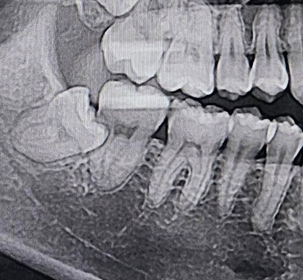
이 사랑니 발치하려면 어금니까지 발치해야할까요?

안녕하세요. 어금니 쪽 잇몸이 욱씬거려서 치과에 갔더니 사랑니 때문인것 같다고, 사랑니 발치하려면 어금니도 같이 발치해야할 것 같다는데 진짜 그래야 할까요?ㅠ 사랑니 전문 병원에 가면 사랑니만 뽑을 수도 있을까요? 난이도가 높은 사랑니인지 궁금합니다. 충치는 전혀 없습니다.

  • 1번 째 사진

4개의 답변이 있어요!

  • 김철진 치과의사

    김철진 치과의사

    가까운우리치과

    안녕하세요. 김철진 치과의사입니다.

    정확한건 CT도 찍어보고 사랑니 발치후에 앞치아를 확인해보셔야되겟지만 엑스레이 사진만봐서는 앞치아도 발치를 해야될수도 있습니다.

  • 안녕하세요. 김지훈 치과의사입니다.

    사랑니 전문 치과는 가보시되 현재 사진은 중첩된 부분이 있어 발치 후에 다시 평가를 해봐야 할 것 같습니다.

  • 안녕하세요. 안상우 치과의사입니다.

    사랑니가 매우 깊게 있으며 앞의 치아와도 간섭이 심해 보입니다.

    난이도가 높은 발치일것으로 생각되나 발치가 불가능한것은 아닙니다.

    구강외과 전문의 선생님이 있는 병원에서 발치를 하는것을 권유드립니다.

  • 안녕하세요. 송우식 치과의사입니다.

    현재 매복사랑니가 기울어져서 앞의 어금니 뿌리도 손상되어 있기에 두가지 치아 모두 발치가 필요로 되는 상황입니다. 현재 난이도가 높은 발치로 매복 사랑니 발치경험이 풍부한 구강외과 전문의에게 치료를 받길 권합니다.

    만족스러운 답변되셨으면 합니다.

    <평가> 감사합니다.