아핫뉴스실시간 인기검색어
아핫뉴스 화산 이미지
화산 아이콘 11
SKT 해킹 보상 10만 원 지급
아하

의료상담

치과

가장보고싶은토스트
가장보고싶은토스트

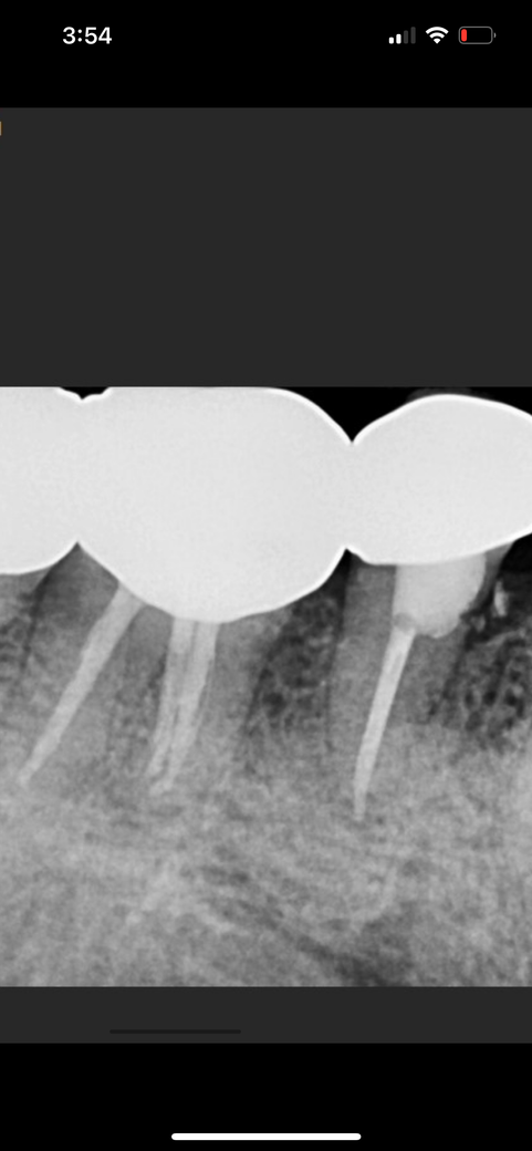
엑스레이좀 봐주세요! 치아가 아파요

엑스레이상 왼쪽 아래부분이 뜨거운걸 먹었을때

애리는 느낌이 나요.

저작 통증은 없구 대신 뜨거운 국밥같은걸 씹을땐

5초정도 아프고 말아요.

이미 신경치료15회와 + 다른이 신경치료+ 크라운 한 세곳중 한곳이 아픈듯해요.

병원 3군데선 염증 안보인다하고 한곳은 왼쪽 아래 소구치에서 약간 염증이 보이나 신경치료 완료한지 아직 2달밖에 안된거라 지켜봐야 한다고 하더라구요..

그러면서 ...왼쪽 윗부분 인레이도 뭔가 애메하다는듯이 말을 흐리셨는데 충치나 염증이 보이나요~?

ㅠㅠ 병원 한군데를 다 가봐야하는지...답답해요

  • 1번 째 사진
  • 2번 째 사진
4개의 답변이 있어요!
  • 안녕하세요. 김지훈 치과의사입니다.

    신경치료 자체에는 크게 문제 없어보이지만 증상이 계속 된다면 대학병원을 가보시는 것을 권합니다.

    1명 평가
  • 안녕하세요. 김철진 치과의사입니다.

    엑스레이 상으로 보면 신경치료는 잘된거 같습니다. 차가운거나 뜨거운거에 반응이 잇다면 다른 치아가 아닐까 생각되기도 합니다.

    1명 평가
  • 안녕하세요. 안상우 치과의사입니다.

    온도 변화가 심한 음식의 치아에 통증을 느낀다면 치아 내부에 있는 신경에 염증이 있을 가능성이 높습니다. 치아 내부 신경에 염증이 생긴다면 신경치료를 해서 해당 증상을 없애는 것이 좋습니다.

    정확한 확인을 위해 치과에서 진료를 받아보는 것을 권유드립니다.

    1명 평가
  • 안녕하세요. 최석민 치과의사입니다.

    1. 신경치료된 치아는 보통 찬 것에는 거의 증상이 없고 간혹 염증이 아직 있거나, 잔존신경이 있으면 뜨거운 것에 민감한 반응을 보이기도 합니다.

    2. 이런 경우 재신경치료가 필요합니다.

    3. 현재로서는 신경치료를 안하고 씌운 마지막 큰 어금니에 대해 추가검사를 해보면 좋을 것 같습니다.

    4. 엑스레이상 왼쪽 위 작은 어금니 인레이 (#15)의 경우 인레이 보철물 하방 검은 색이 하방 우식일 수도 있고 엑스레이 상 왜곡일 수도 있습니다. 증상이 있다면 인레이 뜯고 내부 체크해봐야 합니다.

    1명 평가