전문가 프로필
프로필
답변
잉크
잉크 내역
전체
의료상담
경제
학문
의료상담
전동칫솔이 일반 양치질 보다 깨끗하게 치아를 유지할수 있을까?
안녕하세요 목동안치과의 안원장입니다.전동칫솔은 솔이 움직여서 우리의 치아를 청소해주는 기능을 하는 도구 입니다 .양치질의 목적은 치아 사이의 음식물을 꼼꼼하게 제거해주는 것인데 칫솔질을 할때는 생각보다 제거되지 않는 부위가 많이 있습니다.이런 것을 방지하기 위해서 전동칫솔이 개발되었는데요.전동칫솔은 움직이는 방향에 따라서 회전을 하는 회전형이 있고 앞뒤로 진동하는 진동형이 있습니다.치아에 가만히 대고만 있어도 칫솔모가 알아서 움직여 주게 되어 치아주변을 깨끗하게 해준다는 개념이에요.말만 들어도 굉장히 획기적이고 편할것 같습니다.그럼 전동칫솔은 칫솔질을 대신 할수 있을까요?전동칫솔이 치아주변의 이물질을 제거하는데 도움이 되기는 합니다.우리의 치아는 여러 면이 있어요 보시다시피 바깥쪽 그리고 안쪽 그리고 치아 사이 또 잇몸안 등 음식물이 남아 있을수 있는 여러 공간이 있습니다.이 공간에 있는 음식물들을 제거해 줘야 하는데 전동칫솔의 경우에는 음식물을 제거하는데 도움이 되기는 합니다.하지만 치아 사이나 세세한 부위의 음식물을 제거하는데 한계가 있습니다.전동칫솔은 구강내에 넣고 가만히 있으면서 치아를 이동하면서 치아 표면을 깨끗하게 해줍니다.하지만 전통 칫솔의 경우 각도에 따라서 닿지 않는 면등이 있을수 있습니다.반면에 칫솔을 사용한다면 손의 움직임이나 각도에 따라서 전동칫솔보다 더 꼼꼼하게 치아표면을 여러각도에서 닿을 수 있습니다.즉 칫솔이 더 양치질을 하는데 효과적인 것이지요.치아 사이는 칫솔로도 접근할수 없기 때문에 치실을 사용해야 합니다.즉 칫솔과 치실을 사용한다면 전동칫솔을 사용하는것 보다 더 효율적으로 치아를 깨끗하게 유지할수 있습니다.전동칫솔을 사용했을 경우에 단점중에 하나는 치아에 마모증이 생길수 있다는 것입니다.우리의 치약은 만져보시면 부드럽지만 치아 표면의 이물질을 제거하기 위해서 까끌까끌한 연마제가 들어 있습니다.이 마모제를 가지고 치아표면을 닦는데 칫솔모가 회전을 하거나 진동을 한다면 치아에 가해지는 힘을 조절하기 힘듭니다.물론 회전속도나 진동횟수를 조절할수는 있지만 칫솔을 이용하면서 힘을 조절하는것 보다는 상대적으로 조절이 힘들기 때문에 치아에 마모를 일으킬수도 있습니다.치아에 마모가 생겼을 경우에는 시린증상이 생길수도 있습니다.전동칫솔은 움직임에 불편감이 있는 분 파킨슨이나 그 외의 운동기능이 정상적이지 않은 분들에게 있어서는 도움이 되는 것은 사실입니다.하지만 사지 멀쩡하고 손이 자유롭게 움직일수 있는 분들은 그냥 칫솔과 치실을 사용하는것이 구강위생관리에 도움이 됩니다.구강위생은 본인의 부지런한 관리 없이는 유지되기 힘들기 때문에 나이가 들고 시간이 지나도 맛있는 음식을 먹고 즐기기 위해서는 조금 부지런해 질 필요가 있습니다.
25.04.18
7
2
2,711
의료상담
자일리톨 껌은 정말 충치를 예방해줄까?
안녕하세요 목동안치과의 안상우 원장입니다.여러분 자일리톨이라는 껌을 다들 한번씩 들어보셨을 껍니다.자일리톨을 씹으면 충치가 예방된다는 예전의 광고를 들어보셨을 껍니다.이 자일리톨을 씹으면 정말 충치를 예방할수 있을까요?오늘은 그 사실에 대해서 알아보고자 합니다.충치가 생기는 원인는 무엇일까요?충치는 치아가 산성환경에 오래 노출되어 있게 되면 생기게 됩니다.구강내에 있는 당분은 분해가 되면서 산성을 띠게 되는데 이 산성을 띠게 하는것이 바로 구강내에 세균이에요.세균은 당을 먹고 산이라는 부산물을 만듭니다.결과적으로 이 산을 만들어내는 세균이 없다면 충치가 발생하지 않게 됩니다.세균이 살기위해서는 에너지가 필요한데 이 에너지를 구강내에 있는 당분에서 얻습니다.자일리톨은 자작나무에서 추출한 단맛이 나는 설탕입니다.자일리톨은 당과 비슷한 구조를 가지고 있는데 세균이 이 자일리톨을 먹고나면 일반 당분과는 다르게 에너지를 생성하지 못합니다.아무리 먹어도 배가 고파지게 되는 것이지요. 배가 고파져서 점차 세균들은 점차 힘이 빠지게 됩니다. 이전처럼 산을 유발하는 물질을 만들지 못하게 됩니다.결과적으로 이렇게 해서 세균이 없어지게 되면 구강내에 산을 만드는 원인이 없어지게 되니 충치또한 생기지 않는다는것이지요.이론적으로는 충치유발을 방지하는데 도움이 될것 같기는 합니다.사실 자일리톨이 구강위생에 도움이 되기는 합니다.우선 구강내에 충치가 없기 위해서는 구강내의 이물질을 제거해야 해요.결과적으로 물리적인 힘으로 제거를 하게 되는데 껌을 먹게 되면 구강을 움직이면서 구강내의 이물질을 부분적으로 제거해 주게 되요.하지만 칫솔질을 할때보다는 그 효과가 매우 낮습니다.차라리 칫솔질을 하는것이 구강내의 음식물을 훨씬 더 잘 제거할수 있습니다.또한 구강내에 자일리톨만 있으면 정말 세균이 줄어들게 됩니다 .자일리톨만 6개월동안 먹는다면 말이죠실제 실험에서도 6개월동안 다른 당분을 먹지 않았고 자일리톨만 먹었을 경우에 충치균이 줄어들었다고 합니다.하지만 세상에는 맛있는게 너무 많죠.자일리톨만 먹고 살수는 없거든요.제생각에는 그냥 맛있는거 먹고 칫솔질하는게 더 낫습니다.또한 자일리톨로 충치균을 줄이기 위해서는 매일 자일리톨을 1시간정도씩 씹어야 합니다.껌을 자주 씹을 경우에는 턱관절에 무리를 주게 되어 턱관절 질환이 생길수 있거든요?충치를 없애기 위해 턱관절을 내준 상황이 되어 버리거든요또한 치아에도 불필요한 힘이 가해지기 때문에 마모증이 생길수 있어요.충치균을 줄일려고 껌을씹었는데 턱관절이 나가버린다면 이건 얻는것 보다 잃는게 더 많아 지게 됩니다.자일리톨로 구강내의 충치를 세균을 줄이기 위해서는 정말 많은 조건이 갖춰줘야 해요.솔직히 이럴 정성이 있으면 차라리 맛있는거 많이 드시고 칫솔과 치실을 이용하는것이 구강내 세균을 줄이는데 더 큰 도움이 됩니다.자일리톨껌은 그냥 맛으로 씹으시고 구강위생을 잘 관리해 보세요.
25.04.13
6
0
1,744
의료상담
치아 사이에 음식물이 낀다면
안녕하세요 목동안치과의 안상우 원장입니다.오늘은 치아 사이에 음식물이 끼는 원인과 이를 예방하는 방법에 대해서 알아보고자 합니다.치아 사이에 음식물이 끼는 원인은 무엇일까요?치아 사이에 음식물이 끼는 이유는 거기에 공간이 있기 때문입니다.그럼 치아 사이에 공간이 생기는 원인이 무엇일까요?그 원인에 대해서 알아보려고 합니다.우선적으로 충치등으로 인해서 치아 사이에 공간이 생기게 되면 음식물이 낄수 있습니다.치아의 인접면은 관리를 잘 안하게 되면 충치가 쉽게 생길수 있는 부위에요.또한 마모증으로 인해서 치아의 옆면이 이런식을 깎여 나가게 되어도 충치가 생길 수 있습니다.이런원인으로 인한 음식물의 끼임은 충치가 있는 부위의 충치를 제거하고 원래 치아 처럼 수복을 시켜주면 됩니다.다음으로는 치주질환이 있어서 치아 자체가 움직이게 됨으로써 생기는 공간이 있을수 있습니다.치아가 흔들리는 원인은 여러가지가 있을수 있는데 우선적으로 치아를 고정하고 있는 치조골이 약해 짐으로써 흔들릴수 있습니다.치아가 흔들리게 되면 사이에 공간이 생기게 되는것이고 음식물이 끼게 되는것 입니다.이런경우 잇몸에 염증을 줄이기 위해서 잇몸치료를 해줘야 합니다.다음에 치아가 흔들리지 않도록 교합간섭등을 조절하고 치아에 가해지는 힘을 줄여야 해요.어떤 분들은 이런 치아 사이를 그냥 메꾸면 되지 않냐고 하시는 분들고 계세요.치아 사이를 그냥 메꾸게 되면 일시적으로 음식물이 잘 들어가지 않겠지만 한번 들어간 음식물이 빠져나오지 못해서 결과적으로 잇몸에 염증을 유발하게 됩니다.또한 치아가 다시 흔들리게 되면 공간이 넓어지게 될수도 있어요.이런 치아의 흔들림이 있거나 해서 음식물이 자꾸 끼게 된다면 치아 자체를 열결해서 씌우게 되면 치아의 흔들림을 줄이는 동시에 공간을 메꿀수 있습니다.크라운치료라고 하는 치료입니다.음식물이 들어가는 방향에 대해서 알아 볼껀데요음실물은 두가지 방향으로 끼게 됩니다. 옆과 위쪽 방향입니다.음식은 치아의 옆면으로 들어 갈수 있습니다 .젊을때는 치아가 촘촘하게 잘 있지만 나이가 들면서 잇몸뼈가 점차 내려가게 되면 치아 사이에 공간이 생깁니다.음식을 먹게 되면 이 부위로 음식물이 들어갈수 있어요.이렇게 들어가는 음식물은 비정상적인 것이 아니라 자연스러운 현상입니다.이런식의 음식물은 치실이나 치간 칫솔로 제거해 줘야 합니다.다른방향인 위에서 음식물이 들어가는 경우가 있어요위에 끼는 음식물의 경우에는 치아의 이동이나 충치등으로 인해서 치아 사이에 공간이 생겨서 끼게 됩니다.이런경우에도 통증이 없다면 관리를 하면서 사용할수 있습니다.하지만 위에서 음식물이 들어가서 통증이 있다면 공간을 메꾸기 위해서 치료를 해야 합니다.통증이 있다는것은 음식물이 위에서 끼어서 잇몸을 누르고 있다는 의미이거든요이런 상태는 나중에 치주질환을 유발할수 있어요.아까 말씀드린 인접면을 치과재료로 메꾸거나 보철치료로 치아 자체를 씌워줄수 있어요.치아 사이에 공간이 있는지는 어떻게 알수 있을까요?치아 사이에 공간이 있는지 알아보기 위해서는 치실을 사용해 보시면 되요.치실을 사용해서 치아 사이를 왔다 갔다 했을때 딸깍딸깍 소리가 나면 치아가 정상적으로 닿고 있다는것입니다.치실을 사용했을때 치아 사이가 저항감이 없이 훌렁훌렁 통과 한다면 치아사이가 닿고 있지 않다는것이기 때문에 치료가 필요할수 있어요.치아 사이에 음식물이 자주 낀다고 생각되신다면 치실을 이용해서 치아가 사이에 공간이 있는지 확인해 보시고 필요하다면 치과에서 진료를 받아 보세요.
25.04.07
5
1
2,949
의료상담
임플란트가 흔들린다면
안녕하세요 목동안치과의 안원장입니다.오늘은 임플란트의 구조와 임플란트가 흔들린다면 그 원인은 무엇인지 그래고 어떻게 해야 하는지에 대해서 알아보려고 합니다.임플란트가 흔들리는 원인을 알기 위해서는 임플란트의 구조에 대해서 알아야 해요.임플란트는 충치나 치주질환으로 인해서 손실된 치아를 수복하기 위한 치료방법입니다.임플란트 치료는 비어있는 부분의 잇몸뼈에 임플란트 뿌리를 넣은 다음에 위에 보철 을 해서 교합을 회복해 주는치료에요.임플란트를 고정해 주는것은 두개의 나사로 되어 있습니다.잇몸뼈와 고정이 되는 외부의 큰 나사와 보철물을 뿌리와 연결하기 위한 작은 나사가 있어요.임플란트가 흔들리는 것은 이 두개의 나사에 문제가 생겨서 발생하게 됩니다.일단 임플란트가 흔들리는 많은 원인중에서 하나는 임플란트와 뿌리를 연결하는 작은 나사가 풀리기 때문입니다.이런 상태가 된다면 임플란트는 흔들리는데 실제로 통증은 크지 않습니다.신기하게 치아가 자리에서 빙빙 돌기도 해요.이 작은 나사가 풀리는 원인은 여러가지가 있을수 있습니다.임플란트 보철물을 제작할때는 이 부위의 나사를 일정힘으로 잘 고정시킵니다.하지만 임플란트에 과도한 교합력이나 측면으로 보철물을 밀어내는 힘이 장기적으로 가해지면 임플란트 안의 나사가 풀리는 경우가 있어요.이런경우에는 치과에서 간단하게 안에 있는 나사를 다시 조여 줄수 있습니다.보철물이 잘 결찰이 된다면 임플란트를 정상적으로 사용할 수 있어요.임플란트가 흔들리는 다른 원인중에 하나는 임플란트와 잇몸뼈에 고정이 되어 있는 임플란트의 뿌리가 탈락되었을 경우 입니다.치조골과 유착되어 있는 임플란트의 큰 나사에 문제가 생겼을 경우에는 조끔 일이 커지게 됩니다.일단 이런 상황이라면 음식을 먹을때마다 굉장한 통증이 느껴지게 됩니다.임플란트 뿌리가 잇몸뼈를 계속 헤집게 되거든요?상상만 해도 끔찍한데요. 아마 고문도 이런 고문이 없을 껍니다.이런경우에는 치조골과 임플란트의 유착에 실패한 것이기 때문에 임플란트를 제거해야 합니다.제거한 후에는 일정시간을 기다려서 잇몸뼈가 아물게 하고 다시 임플란트를 할수 있어요.경우에 따라서는 골이식이 필요할 수도 있습니다.이렇게 임플란트가 흔들리게 되는원인은 대부분 임플란트 자체에 가해지는 힘이 너무 강하기 때문이에요.임플란트는 자연치아와는 다르게 치주인대라는 감각이 없기 때문에 음식을 먹을때 어느정도의 힘으로 물리고 있는지 인지하기가 힘듭니다.이런 원인으로 임플란트에는 자연치아보다 1.5배 이상의 교합력이 가해지게 된다고 하거든요?임플란트를 하셨다면 해당부위에 힘이 최소한으로 가해지도록 조심해서 사용을 해야 합니다.또한 임플란트가 흔들렸다면 빠른 시간내에 치과에서 원인을 제거하고 흔들림을 고정해야 합니다.주기적으로 치과에 내원을 해서 임플란트 내부의 나사를 조여주는것이 도움이 될수 있어요.임플란트 치료는 좋은 치료방법이기는 하지만 비싸고 수술을 해야 하기 때문에 힘이 들수도 있어요.임플란트의 수명은 관리를 잘하게 된다면 반 영구적이기 때문에 관리를 잘해서 오래 사용할수 있도록 해야 합니다.
25.04.02
3
0
1,319
의료상담
치아가 시린이유 - 마모증
안녕하세요 목동안치과의 안상우 원장입니다.여러분은 어느날 이유가 없이 치아가 시린적이 있으셨나요?치아에 이상이 없음에도 불구하고 시린증상이 있다면 마모증이 있을수 있습니다.치아의 시린증상이 생기는 현상에 대해서 알기 위해서는 치아의 구조에 대해서 알아볼 필요가 있습니다.치아는 보시는것과 같이 머리와 뿌리가 있구요.치아의 뿌리를 잇몸 안에 들어가 있습니다.치아 표면에는 법랑질이라는 단단한 조직이 있고 안쪽에는 상아질이라고 하는 상대적으로 연한 치아 조직이 있어요.이 상아질은 모세관현상에 의해서 신경에 자극을 가할수 있는 구조로 되어 있습니다.치아 안에는 신경이 들어가 있지요.결과적으로 시리다는것은 이 신경이 외부 온도변화에 의해서 자극이 되고 있다는 것입니다.치아의 옆부위가 깎이거나 쓸리는 작용에 의해서 표면이 깎여 나가게 되고 상아질이 외부로 노출이 된다면 치아 안의 신경이 외부에 가까워지면서 온도변화에 민감하게 되는것이지요.이런 증상을 마모증이라고 합니다.마모증은 우리가 직접확인을 할수도 있습니다 손톱으로 치아 옆부위를 긁어 보셔서 뭔가 걸리는것이 있다면 마모증이 있는것일 가능성이 높아요.마모증은 우선적으로 칫솔질을 잘못된 방향으로 할때 생기게 됩니다.우리가 칫솔질을 할때 보통 좌우로 하는경우가 많아요. 치약은 부드러워 보이지만 안에는 치아 표면의 이물질을 제거하기 위해서 까글까끌한 연마제가 들어 있습니다.이 마모제가 들어간 치약을 치아의 옆면을 자극하게 되면 표면이 깎여 나가면서 마모증이 생길수 있어요.이렇게 생긴 마모증은 보통 옆면이 U자형태로 나게 됩니다.또다른 원인으로는 치아에 과도한 힘이 가해지는 경우에 마모증이 생길수 있어요.우리의 치아는 매우 단단하지만 힘이 가해지게 되면 눈에 보이지 않을 정도로 매우 미세하고 휘고 있습니다.너무 강한 힘에 의해서 치아가 과도하게 휘게 되면 치아의 옆부위가 깎이면서 마모증이 발생하게 되요.이런 과도한 교합력에 의해서 생기는 마모증은 보통 도끼로 찍은 이런형태로 생기게 됩니다.또다른 원인으로는 잇몸이 내려갔을 경우에도 시린증상이 생길수 있습니다.아까 모세관 현상을 일을킬수 있는 상아질이라는 조직이 있다고 말씀드렸잖아요?치주병에 의해서 잇몸이 내려가게 되면 이 상아질의 노출범위가 넓어지게 되어 시린증상이 나타날수 있어요.시린증상을 줄이기 위해서는 이런 원인들을 제거해 줘야 합니다.우선 칫솔질로 생기는 마모증은 칫솔질을 할때 치아에 너무 강한힘을 주지 마시고 치아가 난 방향으로 약한힘으로 칫솔질을 해야 합니다. 일단 마모증이 생기게 되면 해당부위가 재생되거나 하지 않기 때문에 시린증상으로 인해서 불편감이 있다면 치과재료로 충전을 해줄수 있어요또한 힘에 의해서 생기는 도끼 형태의 마모증은 치아에 가해지는 힘을 줄여야 합니다.지속적으로 치아에 과도한 힘이 가해지다보면 이런마모증이 심해지다가 결과적으로 치아가 부러지는 현상이 발생할수 있어요.마지막으로 잇몸이 내려가서 생기는 시린증상입니다.치아를 둘러쌓고 있는 잇몸이 없어지게 되어 치아 뿌리가 드러나게 되면 치아가 시릴수 있어요. 제일 좋은것은 잇몸이 내려가지 않는것이 좋지만 염증이나 그외의 원인으로 잇몸이 내려가서 시리게 되었다면 치아표면을 코팅하는 약제를 이용하여 시린증상을 완화할수 있습니다.마모로 인해서 시린치아의 치료방법은 아까 말씀드린것처럼 마모가 된 부위를 충전해 주는것입니다.치아를 충전하는 재료에는 레진이라는 재료와 GI라고 하는 재료가 있어요.레진이라는 재료는 보험적용이 되지 않아서 충전시에 비용이 조금비쌉니다. 하지만 색상이 치아와 거의비슷하고 강도가 좋아요. 레진은 비보험 진료기 때문에 병원마다 비용에 차이가 있을수 있는데 치아 하나를 치료하는데 보통 8~12만원정도 합니다.GI라고 하는 글래스아이오노머라고 하는 보험이 적옹되는 재료도 있는데요이재료는 레진보다 색상이 조금 밝고 강도가 약하긴 하지만 보험적용이 되기 때문에 약 8천원정도의 비용으로 치료를 할수 있습니다.잇몸이 내려가서 시린 치아는 잇몸의 염증을 줄이도록 해야 하고 뿌리가 드러난 부분은 치과용 약제를 도포해서 시린증상을 줄일수 있습니다치아가 시리다면 시린원인을 제거해 줘야 합니다.칫솔질이나 과도한 힘같은것 말이죠.또한 잇몸이 내려가는것을 방지해서 치아의 뿌리가 노출되지 않도록 하는것이 좋습니다.또한 마모된부위는 치과용재료로 충전을 해서 시린증상을 줄이는방법도 있어요.올바른 칫솔질과 관리로 마모증이 생기지 않도록 해준다면 치아가 시린증상을 예방할수 있습니다.치아관리 잘 하셔서 꼭 마모증이 생기지 않도록 해주세요.
25.03.28
7
0
2,815
의료상담
집에서 유치를 발치해도 될까?
안녕하세요 목동안치과 안상우 원장입니다.오늘은 유치발치에 대해서 알아보고자 해요.사람은 한번의 이갈이를 하게 되는데요 유치가 나온다음 어른치아가 나오면서 유치가 빠지게 됩니다.이렇게 치아가 두종류로 나오는 이유는 우리몸에 치아를 만드는 조직이 발생단계에서 2개로 존재하기 때문이에요.치아는 턱뼈안의 치배에서 형성이 되는데 유치용 치배와 영구치용 치배가 만들어 지기 때문이죠.유치는 한쪽에 5개씩 해서 총 20개의 치아를 가지고 있습니다.우선적으로 유치는 아이들이 음식을 먹을때 사용하게 됩니다.유치가 있을경우에 교합은 영구치가 있을때보다 유연합니다.여러 형태로 물리기도 해요유치는 아래 영구치가 올라오기 전까지 해당부위의 공간을 유지해 주는역활을 하게 됩니다.나중에 빠지는 치아이기 때문에 충치등을 관리해 주지 못하게 되면 해당부위의 공간이 부족하게 되어 영구치아가 정상적으로 올라올수 없게 됩니다.따라서 유치는 정상적인 시기에 빠져야 하고 빠지는 순간까지도 충치등이 없도록 관리를 해줘야합니다.유치가 흔들리는 이유는 여러가지가 있을수 있습니다.우선적으로 영구치가 올라오면서 유치의 뿌리를 녹이게 된다면 유치가 흔들릴수 있어요.이런경우에는 발치를 해주면 됩니다.영구치아가 많이 올라와서 유치의 뿌리를 많이 녹일수록 치아를 발치하기가 수월해 집니다.하지만 유치가 영구치때문에만 흔들리는것은 아니에요.유치에 충치나 그외의 감염으로 인해서 흔들리는 경우도 있어요.이런경우에 흔들리게 된다면 유치를 발치하지 않고 치료를 해서 사용을 해야 합니다.유치가 빠지는 시기는 영구치가 올라오는 시기에 맞춰서 빠져야 합니다.그렇지 않고 미리 빠지게 되면 인접치아가 쓰러지면서 영구치아가 나올 공간이 부족할수 있어요.공간이 부족한 상태에서 나오는 영구치는 결과적으로 덧니가 될수 있어요.어쩔수 없이 영구치아가 올라오지도 않았는데 유치를 상실하게 된다면 해당부위의 공간이 소실되지 않도록 공간을 확보해주는 장치물을 장착해야 할수도 있습니다.영구치아가 없는 경우도 있습니다. 이런경우에는 유치를 뽑지 않고 어른이 되서도 사용을 하는경우도 있어요.유치는 영구치보다 뿌리가 깊지 않고 치질이 약하기 때문에 성인이 되어 사용을 해도 파절이 되거나 결과적으로 흔들릴때도 있습니다.이런경우에는 유치를 발치하고 임플란트나 보철치료를 해야 하는경우도 생깁니다.이상이 없다면 계속해서 사용할수 있어요.흔들려서 빠지는 치아라고 해도 후속 영구치아가 잘 맹출되고 있는지를 확인하기 위해서 치과병원에서 검사를 받는것이 좋습니다. 나중에 빠지는 유치라고 해도 영구치의 맹출공간을 확보해주는 중요한 역활을 하기 때문에 그 이전에 빠지거나 충치등으로 인해서 손상이 되지 않도록 관리를 잘 해주는것이 좋습니다.
25.03.21
15
0
2,283
의료상담
흔들리는 치아는 꼭 뽑아야 할까?
안녕하세요 목동안치과 안상우 원장입니다.오늘은 치아가 흔들리게 된다면 뽑아야만 하는것인지에 대해서 한번 알아 보려고 해요.치아가 흔들리는 증상에 대해 이해하기 위해서는 치주조직에 대한 이해가 우선필요합니다.치아는 잇몸뼈에 고정이 되어 교합압을 담당하게 됩니다잇몸뼈와 치조골 사이에는 치주인대라고 하는 치아를 고정시켜주는 조직이 있습니다. 이 조직에 유격이 발생하거나 하면 치아가 흔들리게 되는거에요.사진과 같이 치아뿌리 주변에는 치조골이 있고 이 치조골을 치주인대가 감싸고 있습니다.치아 뿌리 주변에 하얗게 보이는 것이 치밀화된 골인데요 이 골에 치주인대가 치아 뿌리와 연결되어 치아를 지지하는 역활을 하게 되요.치아가 흔들리는것은 치아에 가해지는 힘과 이 치주인대가 버텨주는 힘이 잘 균형을 이루냐에 있습니다.자 그럼 흔들리는 치아는 뽑아야만 할까요?결론적으로 그렇지 않습니다.치아가 흔들려도 통증과 염증이 없고 정상적으로 교합을 한다면 계속해서 사용할수 있어요.치아가 흔들리는 여러 상황을 한번 가정해 볼께요일단 정상 치주조직에서의 상황입니다.정상적인 치주조직으로 지지되는 치아에 각각의 교합력이 걸렸을경우를 가정해 볼께요 약한힘이나 중간힘까지는 치주가 버텨줄수 있습니다.하지만 너무 강한 힘이 작용하게 되면 치주조직에 손상이 와서 치아가 흔들릴수 있어요.반면 잇몸뼈가 내려간 상황을 한번 볼께요이런 치주조직에서는 가해지는 힘이 약한경우에는 치아가 정상적인 기능을 하게 됩니다하지만 중간정도에 힘에서는 치아가 흔들리게 되고 통증이 생길수도 있어요.강한힘에는 아마도 치아가 탈락을 하겠죠치아가 흔들리거나 해도 치주조직에 염증이 없고 통증이 없으며 치아가 정상적으로 기능을 한다면 계속 사용할수 있어요.흔들리며 통증을 유발하는 치아가 있다면 다음 세가지 경우에 따라서 치료나 관리를 해야 합니다첫번째는 흔들리는 치아 주변에 잇몸에 염증이 있는 경우 입니다.염증은 약한 잇몸을 더 망가뜨릴수 있습니다.염증을 유발하는 치석이 있다면 스케일링이나 잇몸치료를 해야합니다.잇몸에 염증이 생기지 않도록 칫솔과 치실 그리고 치간칫솔로 잘 관리해줘야 해요.두번째로는 치주조직이 버티기 힘든 힘이 치아에 가해졌을 경우입니다.이런경우에는 치아에 가해지는 교합력을 줄이거나 교합간섭을 조정해 줘야 합니다.마지막으로 치아를 잡아 주는 치조골 자체가 염증으로 인해서 완전히 망가져서 치주인대가 존재하지 않는 경우입니다.사진과 같이 잇몸위에 완전히 떠있는 경우를 생각할수 있습니다.이런상태는 이미 몸이 치아를 외부물질로 인식하고 있는것입니다.우리몸에 가시가 박히면 아프고 주변으로 염증이 생기잖아요?몸에 밖힌 가시가 우리의몸과 하나가 되지 않듯이 이미 몸에서 치아를 밀어내고 있는것이기 때문에 이런경우에는 안타깝지만 발치를 해야 해요.발치를 하고 나면 해당부위에 임플란트나 보철치료를 해야 할수 있습니다.어떻셨나요? 치아가 흔들린다면 당황해 하지 마시고 치과에서 진료를 받아보세요.치아가 흔들리는 원인과 치주상태를 평가한다음 관리를 해서 사용할수 있도록 해보세요.
25.03.19
10
0
3,301
의료상담
사랑니는 언제 뽑아야 할까?
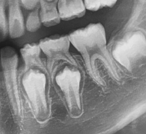
안녕하세요 목동안치과의 안상우 원장입니다.오늘은 사랑니에 대한 이야기를 한번해보고자 합니다.사랑니에 대해서는 한번쯤은 들어보신적이 있으실꺼에요.사랑니는 치아의 제일 뒤에 있는 치아로 제3대구치라고도 합니다. 막니라고도 해요.맨 뒤에 있기 때문에 인지를 못하는 경우도 있고 맨 뒤에 있기 때문에 관리하기가 쉽지 않습니다. 또한 잇몸 밖으로 나오지 않는경우도 있습니다.사랑니는 우리몸의 진화과정과 관련이 있습니다.먼 옛날 우리의 선조들의 음식들은 대부분 질긴경우가 많았어요.조리가 되지 않았거나 잘 다듬어지지 않은 음식 들이었겠죠질긴음식을 먹기 위해서는 턱이 커야 했고 치아가 많아야 했어요.그래서 사랑니가 정상적인 대구치처럼 사용되고 있었습니다.하지만 현대에 들어서 음식이 부드러워지고 섭취하기 쉬워지면서 현대인들은 원시의 선조들보다 턱의 크기가 작아지게 되었습니다.그러다보니 자연스럽게 맨 뒤에 있는 치아는 있을 자리가 없어지면서 비정상적인 형태로 나오기 시작했습니다.사랑니는 어떻게 보면 퇴화하는 기관중에 하나에요.이 사랑니는 어떤 경우에는 그냥 두거나 사용할수 있고 어떤경우에는 뽑아야 하는경우도 있습니다.사랑니는 치아 중 맨뒤에 나는 치아로 칫솔질로 관리하기 힘든 위치에 있습니다.정말 관심을 가지고 관리를 하지 않는 이상 이 부위에는 이물질이 자주 저류되게 되요.사랑니가 아예 잇몸안에 들어가 있다면 외부의 이물질이 들어가거나 하지 않기 때문에 문제를 발생시키지 않습니다.하지만 사랑니가 구강내로 부분적 또는 완전히 맹출했을 경우에는 사랑니 주변에 이물질이 남아 있을수 있습니다.우선 뽑아야 하는 사랑니중에 첫번째는 일단 충치가 생겨서 통증을 유발할 때입니다.이런경우에는 관리가 잘 안되는것이기 때문에 발치를 해주는것이 좋습니다.충치가 있어도 똑바로 나와 있으면 치료를 해서 사용할수도 있기는 합니다.하지만 치아가 뒤에 있어서 치료가 다른치아보다 상대적으로 어려워서 치료에 한계가 있을 수 있습니다.두번째 경우로는 사진과 같이 사랑니가 팔자좋게 옆으로 누워있다면 발치를 해야 하는 대표적인 사랑니중에 하나에요.사랑니가 기울어져 있게 되고 잇몸에 부분적으로 맹출되어 나와 있게 되면 사랑니와 앞에 있는 치아 사이에 음식물이 자주 들어 갈수 있습니다.이런식으로 잇몸에 염증을 일으킬수 있거나 앞에 치아에 충치를 발생시킬 가능성이 있는 사랑니라면 발치 해줘야 합니다.사랑니는 위아래 같이 존재하게 되는데 한쪽의 사랑니는 똑바로 나왔는데 다른 쪽 사랑니가 나오지 않았거나 발치되었다면 맹출되어 있는 사랑니가 정출될 수 있습니다.치아가 정출되게 되면 치열이 어긋나게 되어 해당부위에 음식물이 들어 갈수 있어요.또한 반대편 잇몸을 자극하게 되어 잇몸에 상처가 나고 통증이 있을수 있습니다.이런 경우에도 발치를 해야 하는경우입니다.일단 사랑니가 똑바로 나와 있고 위아래 치아가 정상적으로 교합을 하고 있다면 발치를 하지 않아도 됩니다.사랑니가 정상적으로 물리게 된다면 저작하는 기능이 증가하게 되어 다른 치아에 가해지는 힘을 분산하게 됩니다.또한 뽑지 않아도 되는 사랑니로는 완전하게 잇몸안에 들어가 있어서 앞의 치아나 잇몸에 이물질을 저류시키지 않는 경우 입니다.잇몸안에 완전히 들어가 있고 특별한 병소가 없다면 발치를 할필요가 없어요.어떻셨나요 자신의 사랑니를 뽑아야 하는지 아닌지는 사랑니가 난 형태와 위치를 확인해보세요.사랑니가 잘 기능을 하고 주변에 문제를 일으키지 않는지에 대해서 생각을 해본다면 발치를 해야 하는것인지 아닌지 구분을 할수 있습니다.치아는 하나라도 더 있는 것이 좋습니다.따라서 사랑니를 가지고 있으신분들도 사랑니라고 너무 소홀해 해지 마시고 관심을 가지고 관리를 해주는것이 좋습니다.
25.03.15
23
0
2,029
의료상담
치아 신경치료란
안녕하세요 목동안치과의 안상우 원장입니다.오늘은 치과병원에서 하는 신경치료에 대해서 알아보려고 합니다.치과에서 신경치료를 받는다는 이야기를 들어 본적이 있으실꺼에요. 신경치료라는것이 신경을 치료하는것인가? 라고 생각할수 있습니다.치과의 신경치료는 일반적인 분들이 생각하는 신경치료와 약간 다릅니다.치아안에는 신경이 들어 있습니다. 이 신경은 차갑거나 뜨거운 온도를 느낄수 있으며 충치등으로 인해서 신경에 염증이 발생하게 되면 압력이 올라가면서 통증이 유발되게 됩니다.보통의 치료라고 하면 치료후에 조직이 원상태로 돌아오는것을 생각하는 분들이 많습니다. 하지만 치과에서 하는 신경치료는 병적인 치아안의 신경을 제거하는 술식이에요.통증을 유발하는 신경자체가 제거되기 때문에 통증이 느껴지지 않도록 하는것이지요신경을 제거한다고 하니깐 먼가 무서운 느낌이 드실수 있는데 실제로 치아안의 신경은 쓰임새가 그렇게 많지는 않아요.온도 변화를 느낀다고 말씀드렸는데 치아의 신경으로 음식의 온도를 느끼면서 먹는 사람은 거의 없거든요?치아안에는 신경이 불필요하게 많이 있어서 치아에 생긴 통증은 그 강도가 매우 큰경우가 많습니다.그럼 신경치료는 어떻게 진행되는걸까요?신경치료는 보통 3~4회로 진행이 됩니다.신경을 제거할때는 치과용 도구와 약품을 이용하게 되는데 쉽게 말해서 락스성분의 약품을 이용하게 됩니다.치아안의 신경관은 유기 물질로 이루어져 있기때문에 치과도구로 이 신경조직을 제거 하고 락스성분인 약품으로 남은 신경조직을 녹여서 제거하게 되요.신경치료 약속은 보통 3~4일간격으로 받게 됩니다.두번째날에도 신경을 제거 하는데 대부분 첫날에 신경을 많이 제거해 놨기 때문에 남은 조직들을 더 제거 하고 첫날 못찾았던 신경관이 발견되거나 하면 그쪽도 청소를 하게 되요.이렇게 신경이 제거되고 통증이 없어지게 되면 세번째 날에는 신경치료를 마무리 하게 되는데 청소하고 소독된 신경관에 치과약제를 채우고 마무리 하게 되요.마무리된 치아는 후에 보철치료라고 하는 크라운 치료를 받게 됩니다.신경치료를 해서 치아의 신경이 제거된다면 치아가 감각이 없어진다고 생각하실수도 있습니다.하지만 그렇지는 않아요. 치아에는 치아안에 있는 신경도 있지만 치아 뿌리를 둘러 쌓고 있는 치주인대가 있어서 치아에 가해지는 교합력을 느끼게 됩니다.소위말하는 씹는 맛이라는것은 치아안의 신경보다 치주인대로 느끼게 되요.따라서 치아의 감각이 완전히 없어지는 것은 아니며 음식을 먹는 느낌은 가지게 됩니다.신경치료를 한 상태에서는 치아가 약해져 있기 때문에 일반적으로 떼우는 것보다는 씌우는 크라운이라는 치료를 하게 되요.
25.03.14
7
0
1,689
의료상담
구내염이란
안녕하세요 목동안치과 안상우 원장입니다.우리가 피곤하거나 할때 입주변에 이런형태의 병소를 보신적이 있으신가요?이런병소가 생겼을 경우 굉장이 아프고 불편한것을 느끼셨을 껍니다.이런병소를 구내염이라고 해요.이런 구내염은 왜생기며 왜이렇게 큰 고통을 주는것일까요?또한 이 구내염을 예방하거나 치료하기 위한 방법에는 어떤것이 있을지 알아 보고자 합니다.이 구내염의 원인은 결과적으로 바이러스나 세균 곰팡이등의 감염에 의해서 생기게 됩니다.몸의 면역력이 약해지게 되면 이런 감염원이 쉽게 몸에 침투해 들어오게 되어 조직손상을 유발하게 됩니다.이런 손상이 오게 되면 피부의 내면이 들어나기 때문에 외부자극에 대해서 굉장한 통증을 유발하게 되요.그럼 면역력이 약해지는 원인으로는 무엇이 있을까요?우선적으로 스트레스입니다. 육체적 심리적 스트레스는 몸의 면역력을 떨어뜨리게 됩니다.또한 피곤하거나 수면을 하지 못한경우에도 몸의 면역력이 떨어지게 됩니다.구내염이 생기는 다른 원인으로는 영양 결핍도 있어요 비타민B나 아연이 부족하면 쉽게 생긴다는 보고도 있습니다.그럼 구내염을 치료할수 있는 방법에는 무엇이 있을까요?우선 첫번째로 세균이나 바이러스등에 의해서 생기는 질환이기 때문에 구강내를 깨끗하게 소독을 해줘야 합니다.약국에서 파는 헥사메딘이라는 가글액은 구강내를 소독하는데 사용할수 있어요.구강내를 소독하게 되면 구내염을 유발하는 여러가지 세균들을 없앨 수가 있습니다.둘째로는 해당부위의 통증을 줄이는 방법이에요.오라메디연고는 소량의 스테로이드제가 들어있는 연고로 구내염이 발생한 부위에 도포를 해주면 염증반응을 줄여주게 되어 조직이 아무는데 도움이 되고 통증을 완화 시킬수 있습니다.마지막으로는 몸의 면역력을 높혀줘야 합니다.스트레스가 있다면 스트레스로부터 벗어나려는 노력이 필요합니다.쉽지 않지만요그리고 제일중요한 수면 잠을 자세요 평소보다 많은 잠을 자게 되면 몸의 피곤이 줄어들게 되고 구내염이 더빠르게 치유될수 있습니다.우리의 구강점막은 재생이 매우 잘되는 조직중에 하나 입니다.외부의 자극이 없거나 정상적인 면역력 아래에서는 대부분 스스로 치유가 됩니다.면역력은 높혀주는것과 같은 선상에서 해볼수 있는것들이 영양소를 잘 공급받기 위해서 양질의 음식을 섭취해 주는것이 좋습니다.치료방법중에서 다른 방법으로는 알보칠이라는 제품을 바르는방법도 있는데요이 약은 조직을 일부러 화학적으로 손상시켜서 해당부위에 가피를 형성시켜 통증을 완화해주는 기능을 해요.아픈데 그 부위에 다시 손상을 가해야 하기 때문에 도포시에 매우 큰 통증을 유발하게 됩니다.사실 알보칠은 구내염을 위해서 개발된 약은 아니에요.여성의 질염을 치료하기 위해서 개발된 약입니다.여성의 질내부에는 통증감각이 다른곳보다 상대적으로 적어서 통증을 적게 느끼기 때문에 이부위에 생긴 질염을 치유하기 위해서 사용되던 약제입니다.이런 강한 약제를 구강점막에 사용한다니 전 별로 추천을 드리고 싶지 않아요.사실 전 아픈게 싫거든요.알보칠은 매우 강한 산성이기 때문에 치아에 닿게 된다면 치아에 손상을 가할수도 있기 때문에 사용을 한다고 해도 매우 제한적으로 사용을 해야 합니다 .아까 헥사메딘과 오라메디라는 약을 사용하라고 말씀을 드렸는데 이두약을 사용할때 주의해야 할점이 있습니다.헥사메딘은 항생제이기 때문에 너무 자주 사용하게 되면 구강내의 유익한 균들을 죽이게 되어 구강건조증이생기게 할수도 있어요. 또한 치아에 착색을 유발할수도 있습니다.오라메디는 스테로이드 성분이 있기 때문에 너무 오래 사용하게 되면 오히려 부작용이 생길수 있어요.헥사메딘과 오라메디는 사용한다고 해도 2주이상 사용하지 않는것이 좋습니다.구내염이 생기는 원인을줄일수 있도록 하시고 구내염이 생겼다면 해당부위에 소독과 조직이 잘 아물수 있도록 연고를 사용해 주세요. 또한 구내염이 생겼다면 아 내 몸이 너무 무리를 하고 있구나 라고 생각하시고 다른일은 잠시 접어두고 충분한 휴식을 취하도록 하세요.무엇보다 잠을 자는것이 최고 입니다.항상 몸의 면역력을 높게 유지할수 있도록 해주시고 충분한 휴식을 취할수 있도록 해주세요.오늘도 구강질환으로 인해서 아프지 않기를 바라면서 이상 안원장이었습니다.
25.03.13
10
1
2,142