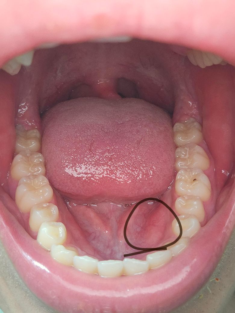
혹시 이게 하악 골융기 인가요 골융기가 맞다면 어떻게 해야 하나요?
오늘 갑자기 자다가 오른쪽 아래를 혀로 만졌는데 볼록 하길래 봤더니 오른쪽만 이렇게 튀어 나와있습니다... 아프지는 않고 딱딱한데 알아보니까 골융기 그런거 같더라구요.. 혹시 골융기가 맞을까요? 맞다면 어떻게 해야 할까요?
사진으로 봤을때는 별로 안커보이는데 거울로 보니까 좀 큰거 같아요..
안녕하세요. 김철진 치과의사입니다.
맞습니다. 아래쪽 사진중에 튀어나온 뼈가 하악골 융기라고 불리는 해부학적 구조가 맞습니다.
1명 평가안녕하세요. 박백현 치과의사입니다.
딱딱하다면 골융기가 맞습니다.
저정도는 작은 편입니다. 불편하지 않으면 신경쓰지 마시고 생활하시면 되겠습니다.
감사합니다.
1명 평가안녕하세요. 송우식 치과의사입니다.
하악 골융기는 딱딱한 뼈의 돌출이며, 대부분의 경우 통증이 없습니다. 골융기는 대부분 치료가 필요하지 않으나 만약 통증이나 불편감이 있는 경우에는 치과 진료를 받길 권합니다.
1명 평가안녕하세요. 김지훈 치과의사입니다.
하악골 융기가 맞으며 하악골 융기는 특별히 치료를 하지 않아도 되며 그냥 지내시면 됩니다.
1명 평가안녕하세요. 안상우 치과의사입니다.
사진으로만 봤을 경우에는 골 융기가 맞은 것으로 보입니다 골 윤기는 특별한 문제를 발생시키지 않기 때문에 내버려둬도 됩니다 딱딱한 음식을 먹게 되면 해당 부위에 상처가 날 수 있으니 너무 딱딱한 음식을 덜 먹는 것이 좋습니다
1명 평가안녕하세요. 최석민 치과의사입니다.
위치상, 아주 딱딱하게 느껴진다면 하악골융기(mandibular torus)가 맞을 것으로 예상됩니다. 그냥 정상 뼈 구조이고요. 걱정하지 않아도 됩니다. 추후 틀니를 하게 될 경우 해당 부위가 틀니에 눌려서 아플 수 있는데 그렇다고 지금 제거할 필요는 없습니다.
1명 평가

