아하
  • 토픽

  • 스파링

  • 잉크

  • 미션


의료상담

자유로운반딧불248

자유로운반딧불248

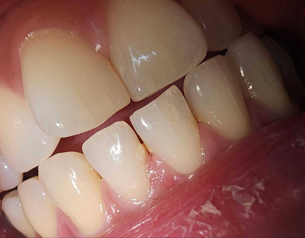
아랫쪽 치아가 이상해요. 부분적으로 변색이 되었어요

안녕하세요. 아랫니 앞니 잇몸부분이 부분적으로 색이 변했어요.

혹시 뭐가 낀건가 싶어서 칫솔질을 해보고 치실로 긁어보았는데 똑같아요.

아랫니 앞니쪽 색깔이 변한것은 충치일까요? 치아가 깨진걸까요? 치석이 굳은걸까요?

  • 1번 째 사진
  • 2번 째 사진

5개의 답변이 있어요!

  • 안상우 치과의사

    안상우 치과의사

    목동안치과의원

    안녕하세요. 안상우 치과의사입니다.

    사진으로 봤을 경우에는 치아에 치석이 있거나 이전에 부분적으로 치료한 치아 재료에 보입니다. 치석일 경우는 제거해 주면 되고 치과 재료가 남아 있을 경우에도 간단하게 제거할 수 있습니다. 자세한 확인을 위해서 치과에서 진료를 받아보는 것은 권유 드립니다.

  • 안녕하세요. 김지훈 치과의사입니다.

    해당 부분에 치석이 있는 것 으로 보이며 치과에서 스케일링 받아보시는 것이 좋아보입니다.

  • 안녕하세요. 송우식 치과의사입니다.

    치석이 잇몸 근처에 쌓이면 색이 변할 수 있습니다. 현재 치석이 쌓여있는 것으로 보이며, 치과에 방문하여 스케일링 치료를 받길 권합니다.

    만족스러운 답변되셨으면 합니다.

    ★평가★ 감사합니다.

  • 안녕하세요. 김철진 치과의사입니다.

    사진에 보이는부분은 착색이 된게 아니라 치석이 ㅅ쌓여서 그런거니 치과에 가셔서 스켈링을 받으시면될것같습니다.

  • 안녕하세요. 최석민 치과의사입니다.

    정확한 건 엑스레이도 찍어보고 치과에서 검사를 해봐야겠으나 일단 육안으로 봤을때는 아래 앞니 혀 닿는 쪽(뒤쪽)에 치석이 많이 껴있을 것 같습니다. 치석제거 후 흰색반점(white spote)에 대해서는 재평가가 필요합니다.