아하
  • 토픽

  • 스파링

  • 잉크

  • 미션


의료상담

이미장엄한개구리

이미장엄한개구리

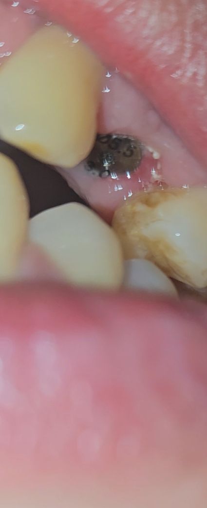
임플란트 식립한지 3주가 되었는데 잇몸에 하얀색 점같은게 있는데 이건 뭔가요?

뼈이식 식립후 3주가 되었는데 하얀색 이물질같은게 껴있는거같은데 염증인가요?

잇몸은 잘 아물고 있는거 같은데 선생님들이 보시기엔 어떠신가요?

  • 1번 째 사진

3개의 답변이 있어요!

  • 김철진 치과의사

    김철진 치과의사

    가까운우리치과

    안녕하세요. 김철진 치과의사입니다.

    임플란트를 하고나서 잇몸이 치유되면서 생기는 자연스러운 현상이고 알갱이가 만져 진다면 뼈이식을 한곳에서 잔여 뼛가루가 조금씩 나올수도 있습니다.

  • 안녕하세요. 김지훈 치과의사입니다.

    구내염이라고 판단이 됩니다. 크기나 모양 등, 크게 문제가 될 것으로 보이지는 않습니다.

  • 안녕하세요. 송우식 치과의사입니다.

    뼈이식 재료가 잇몸에 가까운 위치에 있을 경우, 재료가 약간 노출되면서 하얀색으로 보일 수 있습니다.

    수술 후 회복 과정에서 잇몸의 일부 조직이 약간의 변색을 보이며 하얗게 보일 수 있습니다. 이것은 대부분 정상적인 치유 과정이기에 걱정하지 않으셔도 됩니다.

    잇몸이 잘 아물고 있다고 느껴진다면 문제가 되지 않으나, 통증, 붓기, 냄새가 나는 경우 염증일 가능성이 있기에 치과 진료를 받길 권합니다.

    만족스러운 답변되셨으면 합니다.

    <평가> 감사합니다.