의료상담
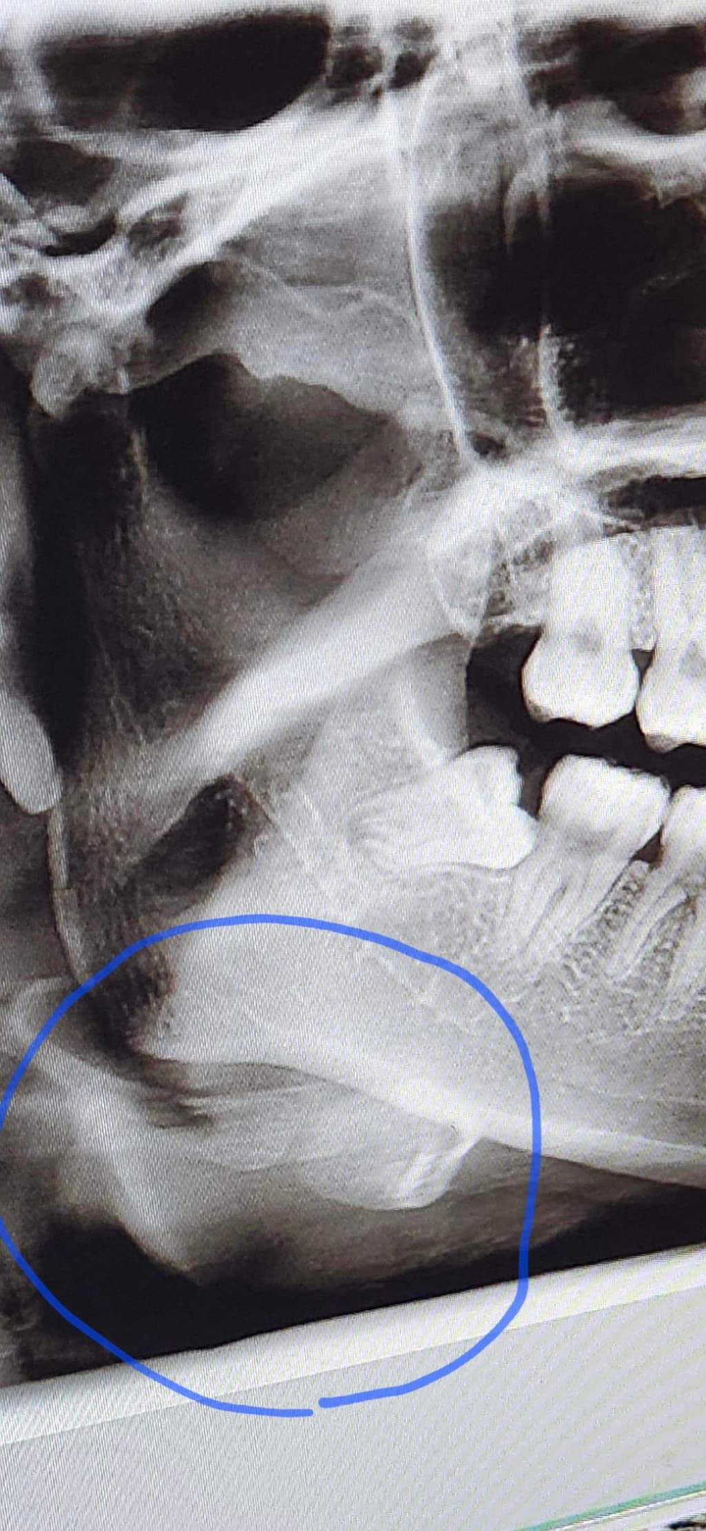
치과 엑스레이 턱에 하얀 부분 뭔가요?
치과에서 엑스레이 찍었는데요
동그라미 친 부분이 뭔지 궁금합니다
설마 치아는 아니겠죠? 왜 저렇게 치아같은 모양으로 있는건지 좀 알려주세요..
검색해봐도 안나와서 질문올려요
55글자 더 채워주세요.
4개의 답변이 있어요!
안녕하세요. 김지훈 치과의사입니다.
치과에서 엑스레이 찍었는데
동그라미 친 부분은 치아 모양이 아니며 설골일 가능성이 높습니다.
안녕하세요. 송우식 치과의사입니다.
이상있는 것 아닙니다. 치과 파노라마 사진은 회전하면서 찍어서 회전할 때 그림자가 생겨서 색깔이 다르게 보이는 것입니다. 무시하면 됩니다.
안녕하세요. 최석민 치과의사입니다.
정상 해부학적 구조(뼈)입니다 hyoid bone panoramic x ray라고 검색해보시기 바랍니다
안녕하세요. 안상우 치과의사입니다.
사진으로 보이는 부분은 설골이 있는 부분으로 보입니다. 앞 꼴에 있는 것이 아니라 목에 있는 뼈가 방사선 사진상으로 보인 것으로 보입니다.

