아핫뉴스실시간 인기검색어
아핫뉴스 화산 이미지
화산 아이콘 11
판사 이한영 흥행
많이 본
아하

의료상담

이비인후과

느긋한염소163
느긋한염소163

목이 칼칼하고 답답해요 멍가 걸린것처럼 불편

성별
여성
나이대
10대

사진이너무 진격의거인같은데 봐주세요ㅠㅠㅠ

목 부은건가요?? 가만히잇어도 칼칼하고 답답해요목이

병원가서 진료 받는게 나을까요?

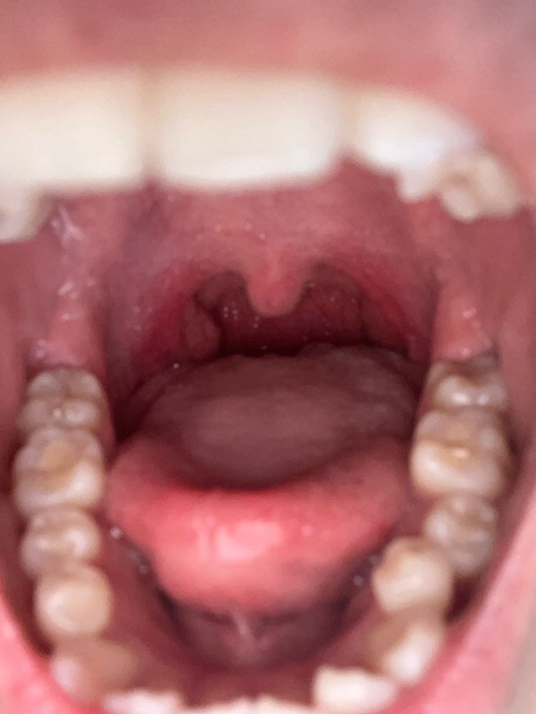
  • 1번 째 사진
2개의 답변이 있어요!
  • 안녕하세요. 채홍석 가정의학과 전문의입니다.

    업로드해주신 증상의 설명과 자료는 잘 보았습니다.

    사진이 너무 멀리서 찍어서 구별이 어렵네요

    오른쪽이 왼쪽에 비해서 튀어나온듯 하지만 각도에 따라서 그렇게 보일 수도 있을 것 같습니다.

    현재 증상이 있으시니 병원에서 진료를 받으시는 것이 좋을 것 같네요

  • 올리신 사진을 통해서 보았을 때에는 보이는 부분까지는 특별하게 이상 소견이 따로 있어 보이지 않습니다. 심한 발적이나 염증 등 소견이 보이지 않습니다. 아무래도 이상이 있다면 보다 안쪽의 문제일 가능성이 높아 보입니다. 이비인후과적으로 한 번 진료 및 정밀 검사를 받아보시는 것이 도움이 될 수도 있을 것으로 사료됩니다.