아하
  • 토픽

  • 스파링

  • 잉크

  • 미션


의료상담

가장보고싶은토스트

가장보고싶은토스트

치아통증...탁센 먹고 덜아프면 낫고 있는걸까요?

신경치료 15회만에 증상 없어져서 마무리 하고

크라운까지 완료 한지 2달이 지났어요!

아무 문제 없이 잘 쓰다가

과음(맥주1500정도)+피곤함 누적으로

1-2주 전부터 다시 뜨거운 것에 아프기 시작했어요

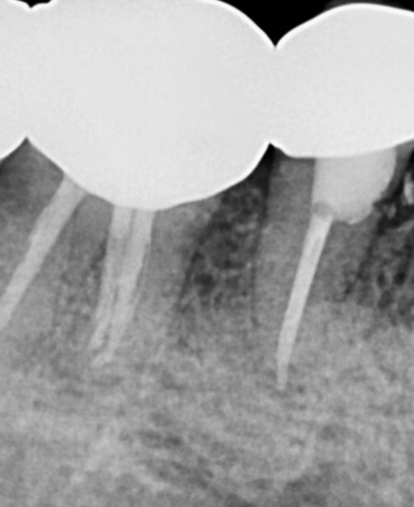
이건 5월 신경치료 하는 중의 엑스레이 입니다

이건 (밑으로)3일전 엑스레이

혹시 염증이 재발한걸까요 아니면 낫는 과정이라 음영이

보이는 걸까요??

의사 소견은 조금씩 다릅니다..

지금은 탁센 먹으니 뜨거운걸 먹어도 미미한 반응인데..

약 발 떨어짐 다시 아프겠죠.?ㅠ

기존 병원을 가면 치료비는 상계처리 해주신다하고..

새로운 병원을 가면 새롭게 시작하는 돈잔치와..

다 나을 순 있는지...확신이 없으니

너무 힘드네요.. ㅠㅠ

혹시..탁센 먹고 더이상 증상 없으면 괜찮은걸까요??

  • 1번 째 사진
  • 2번 째 사진
  • 3번 째 사진
  • 4번 째 사진
  • 5번 째 사진

4개의 답변이 있어요!

  • 김지훈 치과의사

    김지훈 치과의사

    메가

    안녕하세요. 김지훈 치과의사입니다.

    사진에서는 특별히 문제될 것은 없어보이며 지금 치과를 바꾼다고 나을지도 확신은 없습니다.

  • 안녕하세요. 김철진 치과의사입니다.

    증상이 없어졋다면 일단 조심히 사용해보시는게 좋을것같습니다. 신경치료를 하고 나서 오랜기간동안 치아를 사용하지 않아서 적응기간이 필요 햇을수도 있습니다.

  • 안녕하세요. 안상우 치과의사입니다.

    신경치료를 하면 일반적으로 통증이 없어져야지 정상적입니다. 통증이 생겼다는 것은 무언가 문제가 있다는 것입니다. 신경 치료하고도 해당부에 불편감이 있다면 치아에 가해지는 힘을 우선적으로 줄여보는 것을 권유드립니다.

    그래도 불편감이 있다면 신경의 원인이 아닌 치아의 뿌리에 금이 갔을 수도 있습니다. 치아뿔이 근무했을 경우에는 치아를 발치해야 하는 경우도 발생할 수 있습니다. 자세한 확인을 위해서 치과에서 진료를 받아보는 것을 권유드립니다

  • 안녕하세요. 송우식 치과의사입니다.

    신경치료부위에 통증이 다시 발생시에는 추가적인 신경치료가 필요로 될수 있습니다. 탁센을 복용하여서 증상이 경감이 되고, 시간이 지나서 괜찮아지는 경우에는 지켜보아도 괜찮습니다.

    궁금증 해소에 도움이 되시길 바라며, 도움이 되신 경우 평가 별점 5개 ★★★★★ 부탁드립니다.