아핫뉴스실시간 인기검색어
아핫뉴스 화산 이미지
화산 아이콘 11
야구팀 김하성 송성문 부상
아하

의료상담

치과

대단히흥미진진한거위
대단히흥미진진한거위

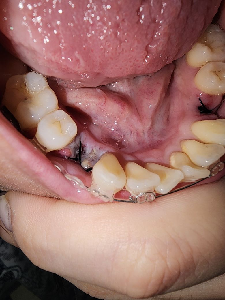
교정때문에 발치 후 잇몸에 노란색? 이 생겼는데 염증인가요?

제목 그대로… 3일 전에 (이번 주 금요일)에 아랫니쪽 어금니를 발치했는데 사진과 같이 오른쪽 어금니 발치를 한 곳에만 노란색으로 뭐가 생겼어요… ㅠㅠ

통증도 오른쪽이 유독 심하고요… (약 먹으면 괜찮음…)

사진 부분이 염증인가요? 얇은 면봉 같은 걸로 눌러보면 터지거나 그렇진 않아요 ㅠㅠ

  • 1번 째 사진
4개의 답변이 있어요!
  • 안녕하세요. 김지훈 치과의사입니다.

    사진만으로는 명확하진 않지만 가능성은 있어보이며 통증이 크다면 치과 가보시는 게 좋습니다.

  • 안녕하세요. 김철진 치과의사입니다.

    발치후에 잇몸이 치유되면서 생기는 자연스러운 현상이니 너무 걱정은 안하셔도 될것같습니다.

  • 안녕하세요. 최석민 치과의사입니다.

    염증의 양상은 맞는 것 같으나 큰 문제는 아닐 것 같습니다 짜내거나 하진 마시고요 항생제 약 처방받은거 잘 드세요

  • 안녕하세요. 안상우 치과의사입니다.

    발치를 하고 혈병이 제대로 형성이 되지 않는다면 드라이 소켓등이 생길수 있습니다.

    드라이 소켓이 생기면 통증이 생길수 있는데 이런 통증은 대부분 시간이 지나면서 줄어들게 됩니다.

    해당부위를 자극하지 않는것이 좋으며 불편감이 있다면 타이레놀과 같은 진통제를 복용해 보세요.