아하
  • 토픽

  • 스파링

  • 잉크

  • 미션


의료상담

확실히협력적인연설가

확실히협력적인연설가

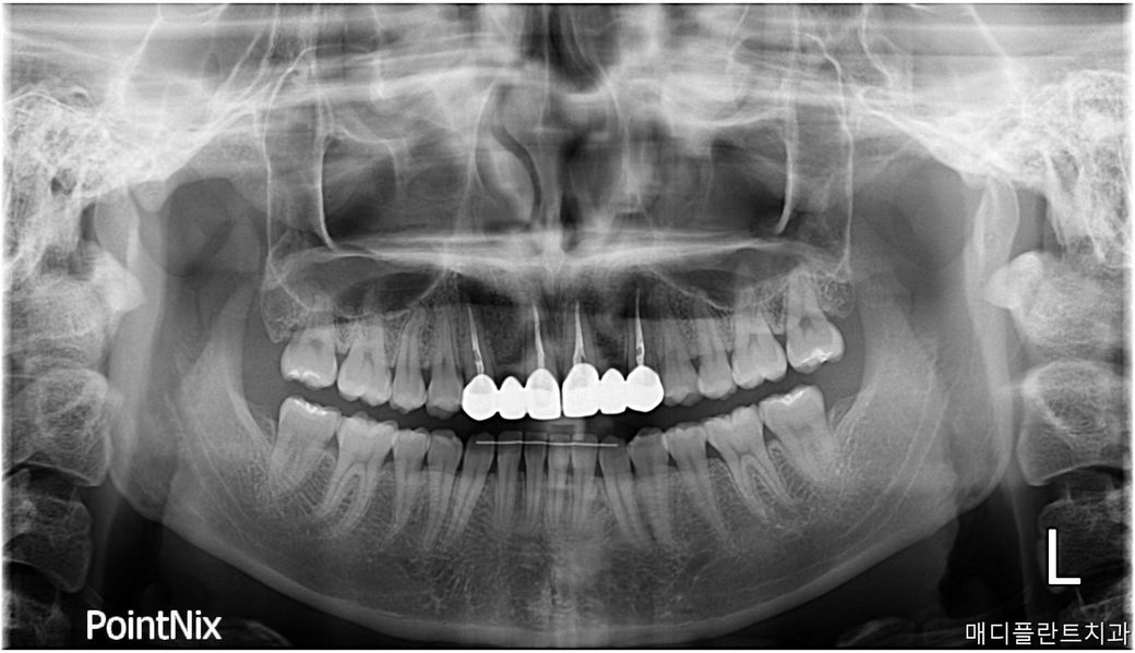
10년전 브릿지를 위해 신경치료 후 잇몸 속 염증 치료방법 봐주세요

양옆 두번째 앞니가 없어서 송곳니랑 첫번째 앞니 갈아서 10년 전에 브릿지를 했는데요.

스켈링 하러 갔다가 이리저리 사진 찍으시더니 양송곳니 뿌리에 고름이 많이 찼다고 뿌리를 자르고 신경치료를 다시 해야된다고 하시네요. 신경치료를해서 아프진 않습니다.

아직 20대라 임플란트는 어렵고, 말씀하신 방법대로 한다면 기존 브릿지 해둔거를 못쓴다고 하셔요.

단독으로 된 치아면 상관이 없는데, 세개씩 두세트라서 너무 부담스럽고 무섭네요.

최소한의 방법으로 해결할 수는 없을까요..

  • 1번 째 사진
  • 2번 째 사진

4개의 답변이 있어요!

  • 김지훈 치과의사

    김지훈 치과의사

    메가

    안녕하세요. 김지훈 치과의사입니다.

    전반적으로 염증이 심하신 상태이므로 대학병원의 보존과를 내원해보시는 것이 좋아보입니다.

  • 안녕하세요. 안상우 치과의사입니다.

    사진으로 봤을 경우 치근단에 병소가 보입니다 신경관의 감염으로 인해서 생긴 염증이라면 재신경치료가 필요할수 있습니다.

    신경치료를 하기 위해서는 일반적으로 보철물을 제거하고 신경치료를 하기도 하지만 보철물에 구멍만 뚫어서 치료를 하는 경우도 있습니다

    자세한 확인을 위해서 치과에서 진료를 받아보는 것을 권유드립니다.

  • 안녕하세요. 최석민 치과의사입니다.

    1. 엑스레이상으로 염증이 보이기 때문에 처치는 필요할 것 같습니다.

    2. 보철 비용 때문에 부담되신다면 재신경치료말고 치근단 절제술을 해볼 수 있으나 해부학적 구조에 따라서 힘든 케이스 일 수도 있습니다.

  • 안녕하세요. 김철진 치과의사입니다.

    일단은 증상이 없다면 정기적으로 관리를 하시면서 지켜보시던지 치료를 하게되면 치근단 절제술을 해보셔야될것같습니다.