아하
  • 토픽

  • 스파링

  • 잉크

  • 미션


의료상담

와일드한불독221

와일드한불독221

아킬레스 부착부 하글런드 제거 기준이 뭔가요? 의사마다 많이 다른가요?

성별

남성

나이대

35

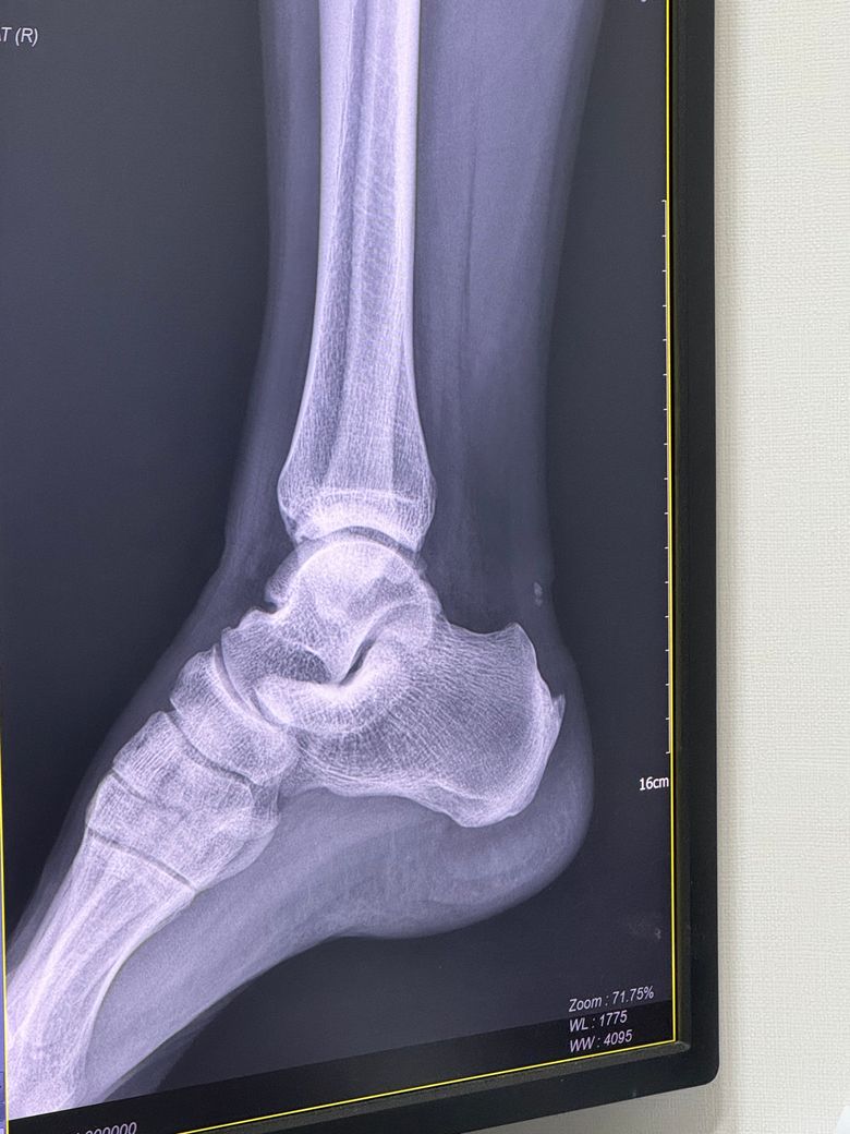
아킬레스 부착부에 일부 파열 및 하글런드 있다는 소견을 들었는데요

의사마다 제거 한다 안한다가 다르네요

제거 한다고 하는 의사는 원인을 제거 해야된다고하여 부착부 떼고 하글런드 제거하고

제거 하지 않는 의사는 오래전에 파열된 아킬레스라 하글런드 제거 위해 붙어있는걸 떼면 위험하다고 하여 제거 하지 않고 꼭 제거 할 정도는 아니라고 합니다

  • 1번 째 사진
  • 2번 째 사진

1개의 답변이 있어요!

  • 송진영 물리치료사

    송진영 물리치료사

    보건복지부

    안녕하세요. 송진영 물리치료사입니다.

    하글런드 제거 기준은 통증 지속, 보존치료 무반응, 기능 제한 여부에 따라 달라집니다. 의사마다 판단이 다른 것은 환자 상태나 수술 위험성 평가 기준이 다르기 때문이에요 의겨닝 엇갈린다면 족부 전문의의 2차 소견을 들어보는 것도 좋습니다!