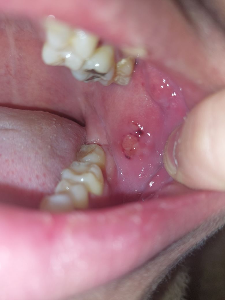
볼 안쪽 구강암인지 알려주실수 있으실까요?
근래 생활패턴이 망가져 수면이 부족한 상태로 일을 많이 다녀 피곤 쌓인 상태였습니다. 최근 왼쪽 볼 안쪽에 큰 이물감이 느껴졌고 튀어나온 부분을 이로 두차례 뜯어냈습니다. 그럼에도 아직 혹같은 이물이 있는 상태입니다.
돌연 구강암이 아닐까 걱정되어 사진을 올려 여쭤봅니다.
안녕하세요. 정진석 치과의사입니다.
사진으로 보아서는 정확한 판단이 어렵습니다. 다만 위쪽 치아의 위치를 보았을 때, 위쪽 치아가 해당 부위의 볼을 지속적으로 자극하고 있을 가능성이 매우 높아 보입니다. 다만 2주 이상 이러한 병변이 유지된다면 조직 검사를 통해 정확한 병명을 알아보는 것이 필요합니다.
아무쪼록 저의 답변이 문제 해결에 작게 나마 도움이 될 수 있기를 기원드립니다. 항상 건강하고, 행복하세요^^
정진석 치과의사 드림
안녕하세요. 안상우 치과의사입니다.
지하에 힘이 많이 가해지게 되면 근육이 볼을 밀어내면서 치아 사이에 씹힐 수 있습니다 사진은 볼 연조직이 치아 사이로 밀려 들어오면서 자극으로 인해서 손상이 된 것으로 보입니다 구강암이 아닐 가능성이 높기 때문에 너무 걱정하지 않으셔도 되지만 걱정이 되신다면 치과에서 진료를 받아 보세요
안녕하세요. 김철진 치과의사입니다.
사진에 보이는 부분은 볼살이 치아에 씹혀서 생긴상처 같습니다. 너무 걱정하지 않으셔도 될것같습니다.
안녕하세요. 최석민 치과의사입니다.
사진으로 봤을때 악성병소의 소견은 보이지 않는것 같지만 해당 병소가 암으로 진행될 가능성이 있는 전암병소인지는 여러 검사를 진행해봐야 알 수 있습니다
흡연, 음주, 피로, 스트레스 등은 구강암 발생에 기여하는 원인인자입니다

