아핫뉴스실시간 인기검색어
아핫뉴스 화산 이미지
화산 아이콘 11
비트코인 급락
아하

의료상담

치과

레알일찍일어나는카페라떼
레알일찍일어나는카페라떼

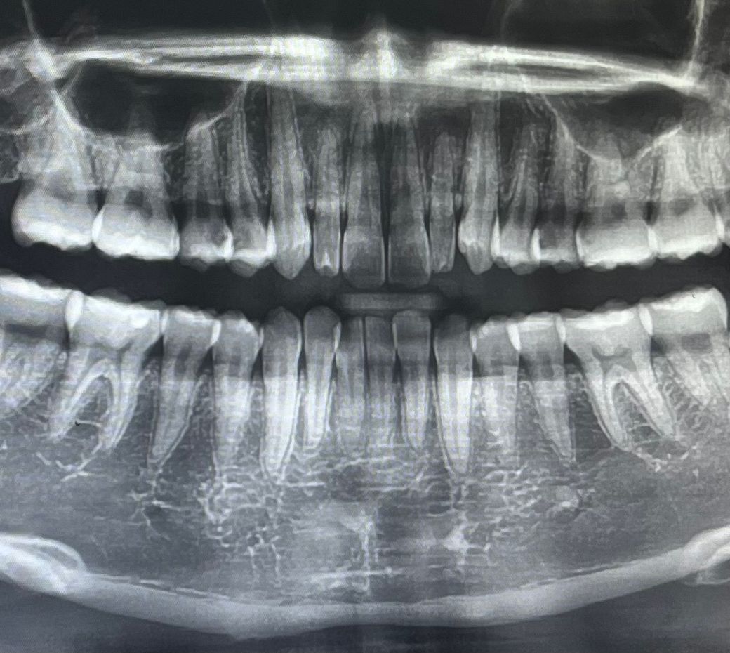
충치 엑스레이를 찍었습니다 ! 충치 치료 신경 치료를 해야할까요 ?

치과에서 엑스레이를 찍었는데 위에 이 세 개가 충치가 생겼다고 말씀해주셨어요 ! 세 개다 신경치료까지 해야할거 같다고 말씀해주셨는데 신경 치료까지 해야할까요 ?? 20대인데 신경치료 하면 신경을 죽이는 거라고 해서 걱정이에요 이가 아프지는 않고 차가운거 먹을 때 한 번씩 시린 정도입니다 크라운 치료까지 해야할까요?

  • 1번 째 사진
1개의 답변이 있어요!
  • 안녕하세요. 최석민 치과의사입니다.

    1 .엑스레이상으로 보이는 충치는 꽤 깊어보입니다.

    2. 신경치료 가능성이 큽니다.

    3. 신경치료하면 크라운은 합니다. 세트입니다.