아하
  • 토픽

  • 스파링

  • 잉크

  • 미션


의료상담

빠른파리273

빠른파리273

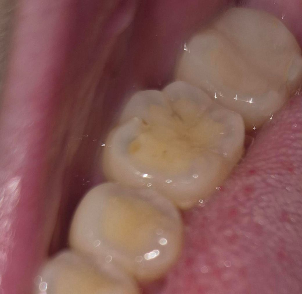
육안으로 볼 때 충치가 있어보이는데 괜찮은 걸까요?

뒤에서 2번째 어금니가 전에 크라운? 씌운 적이 있는데 이 곳에 검정색 선이 두 개쯤 보이는데 충치가 맞겠죠?

구멍이 조금 뚫려서 그런지 혀로 문지를 때 좀 시큰한 느낌이 나는데 전에 치과 갔을 때는 엄청 시린 거 아니면 나중에 다시 보자고 했거든요. 뭐 붙이기엔 구멍도 작은 데 돈 아깝다고 하셔서..

육안으로 볼 때 아직 괜찮아보이나요?

  • 1번 째 사진

1개의 답변이 있어요!

  • 전택근 치과의사

    전택근 치과의사

    국민건강보험공단 일산병원

    안녕하세요. 전택근 치과의사입니다.

    사진상으로 가장 도드라져보이는 부분은 작은 크기의 홈과 우식보다는 많이 마모된 치아 상태입니다. 이갈이 습관이 있으신지는 잘 모르겠으나 치아 교합면 마모가 상당히 있는 편으로 보이며 이에 대한 보호장치 등을 하셔야 이후에 있을 치료에도 예후가 더 좋으리라 사료됩니다.

    질문하신 약간의 치아 패임 및 정지 우식정도는 경과관찰하시다가 증상 심화 시 수복 하시기를 권장드립니다.

    정확한 사항은 치과 내원하셔서 검진 및 정밀진단 받으시기를 바랍니다.

    감사합니다.