홈
토픽
스파링
잉크
미션
전문가 신청
베리몰
나도 질문하기
의료상담
aaaaaaaaaaa
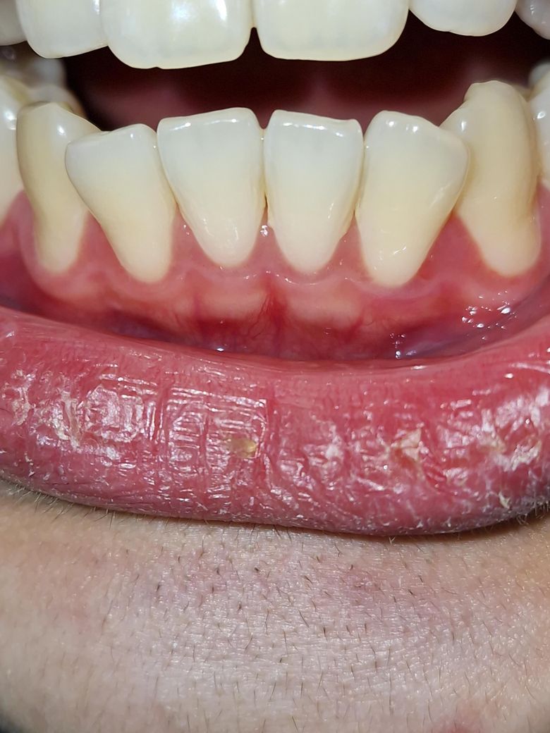
앞니 뒤쪽 잇몸이 자꾸 따끔따끔거려서 아픕니다.
이빨도 손으로 잡고 흔들면 살짝이지만 흔들리는게 눈에 보일 정도입니다. 잇몸 염증 때문일까
요?
사진 보기
4개의 답변이 있어요!
김철진 치과의사
가까운우리치과
∙
안녕하세요. 김철진 치과의사입니다.
정확한건 치과에 가셔서 엑스레이를 찍고 검진을 받아보시는게 좋을것같습니다. 잇몸에 염증이 있어서 그럴가능서잉 높습니다.
5.0 (1)
응원하기
최석민 치과의사
강원도 원주의료원
안녕하세요. 최석민 치과의사입니다.
네 잇몸에 염증이 다소 있는 상태로 보입니다. 치과가서 잇몸검진 받아보시고 스케일링, 잇몸치료 받으시고요. 평소 집에서는 바스법으로 양치해주세요.
김지훈 치과의사
메가
안녕하세요. 김지훈 치과의사입니다.
잇몸이 따끔하고 아프면 염증이 있어서 그럴 수 있으나 치아가 흔들리는 정도라면 치과 가보셔야 합니다.
안상우 치과의사
목동안치과의원
안녕하세요. 안상우 치과의사입니다.
사진으로 봤을 경우에는 잇몸에 염증이 있지는 않습니다. 치아에 너무 강한 힘이 가해졌다면 일시적으로 흔들리는 느낌이 들수 있습니다.
치아에 가해지는 힘을 줄여보세요.
자세한 확인을 위해서 치과에서 진료를 받아보는 것을 권유드립니다.