의료상담
잇몸 붓기 수준이 어느정도인가요?.
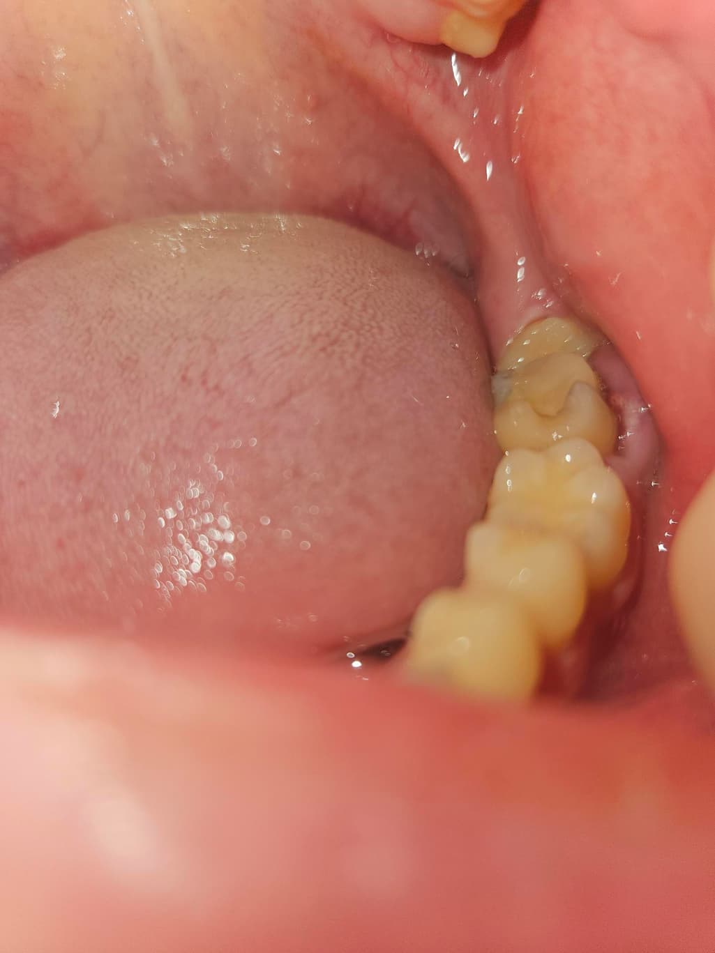
4일전에 아프기 시작해서 덱시부프로펜 먹으면서 참다가 더이상은 안될 것 같아서 안쪽을 찍어보니 저렇게 부어있습니다. 인터넷 보면 재신경치료나 무슨 절제술 해야한다는데 그렇게 심각한가요?
55글자 더 채워주세요.
4개의 답변이 있어요!
안녕하세요. 김지훈 치과의사입니다.
잇몸에 명확히 염증은 보이는 상황으로 원인에 따라 치료방법이 다르니 치과 가보셔야 합니다
안녕하세요. 안상우 치과의사입니다.
사진으로 봤을 경우에 잇몸은 손상된 상태에서 감염이 된것으로 보입니다. 감염의 원인을 제거하고 잇몸에 가해지는 자극을 줄여주는 것이 좋습니다.
자세한 확인을 위해서 치과에서 진료를 받아보는 것을 권유드립니다.
안녕하세요. 김철진 치과의사입니다.
치아 옆부분이 깨지면서 잇몸이 많이 부은 상태 같습니다. 치과에 가셔서 잇몸을 잘라내고 크라운 치료를 하시는게 좋을것같습니다.
안녕하세요. 최석민 치과의사입니다.
잇몸관련 문제일지 아니면 주변 어금니 문제일지 아니면 사랑니로 인한 치관주위염인지는 검사해봐야 알 수 있고 각기 원인에 따라 치료방법이 다릅니다

