아하
  • 토픽

  • 스파링

  • 잉크

  • 미션


의료상담

살짝쿵신나는외계인1

살짝쿵신나는외계인1

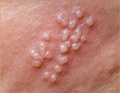
헤르페스 증상중 이것도 하나인가요?

성별

남성

나이대

25

여드름같이 올라와서 간지러서 긁었는데 저렇게됬어요 이거 헤르페스 증상맞나요... 포비아와서 진짜 가만히 있지를 못하겠습니다

  • 1번 째 사진

2개의 답변이 있어요!

  • 남희성 의사

    남희성 의사

    대학병원 재활의학과

    안녕하세요. 남희성 의사입니다.

    헤르페스는 군발성 수포 병변을 유발합니다. 수포는 조그만한 동그란 물집이라는 이야기입니다.

    사진으로 보여주신건 현재 긁고 난 이후로 형태가 변하긴 했지만 수포는 아닌걸로 보입니다.

  • 안녕하세요. 김수비 의사입니다.

    사진으로 봐서는 모릅니다. 수포인지 아닌지도 확인이 안되구요.

    많은 분들이 그냥 피부 병변만 보여주면 그게 뭔자 바로 파악 가능하다고 생각하시는데 실제로는 그렇지 않습니다.

    대부분 검사를 해봐야 정확하게 진단 가능해요. 검사 없이 진료하고 처방하는건 그냥 그 질환에 가까워 보이기 때문에 치료 해 보는거죠.

    물론 전형적인 수포 다발 모양이면 헤르페스라고 가늠해 볼텐데 보여주신 병변은 수포인지 아닌지조차 파악이 안되는 굉장히 비특이적인 병변입니다. 아주 다양한 원인으로 발생할수있어요

    피부과나 비뇨기과 가서 진료 받아보시길 바래요. 검사도 필요하시면 하시구요. 감사합니다