앞니에만 유독 치석이 계속 쌓여요
최근에 교정으로 잇몸이 많이 안좋아졌는데, 마지막 스케일링 하고 두달 정도가 지났습니다.
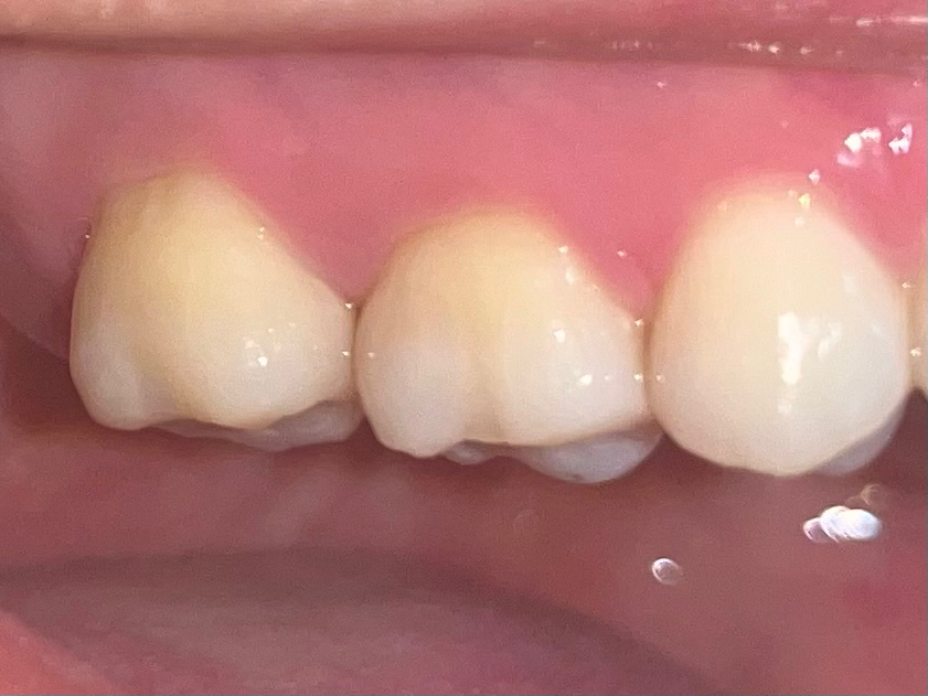
1) 사진으로 제대로는 안 보이지만 아무리 양치를 해도 아래 앞니 사이에 치석이 계속 쌓이는게 보이는데, 6개월마다 가서 스케일링 해도 괜찮을까요? 아니면 텀을 줄여야 잇몸에 문제가 없을까요? 어금니 잇몸 퇴축이 좀 있는 편이라 더 이상 퇴축이 안왔으면 해서요..
2) 잇몸 색도 어떤지 한번 봐주세요.. 예전에 어금니쪽에 피가 한창 나서 잇몸치료 받고 양치 조금 더 신경써서 한 이후로는 피는 안나는데 그럼 이제 잇몸이 나아지고 괜찮은거겠죠?🥲 나이는 20대 중반 입니다ㅠㅠ 걱정 많이 안해도 될까요?
안녕하세요. 최석민 치과의사입니다.
아래 앞니 부위는 원래 관리를 잘해도 침이 잘 고이는 부위이고 침 분비가 이뤄지는 침샘이 있어서 치석이 많이 쌓입니다.
부분스케일링 주기 짧게해서 하시는 것도 좋습니다.
현재 사진상으로는 다른 부위는 괜찮고 아래 앞니만 약간의 치은부종이 보입니다.
안녕하세요. 김지훈 치과의사입니다.
치석이 잘 생기면 스케일링을 자주 하시는 게 좋으며 1년에 2~3번 하시면 됩니다.
양치할 때 칫솔을 세워 앞니부분을 따로 꼼꼼하게 닦으셔야 합니다.
안녕하세요. 김철진 치과의사입니다.
원래 아패 앞니 안쪽은 침샘이 잇는부위라서 치석이 잘생깁니다. 그래서 양치를 하실때 안쪽을 잘 닦아주시는게 중요합니다.
안녕하세요. 송우식 치과의사입니다.
1) 사진으로 제대로는 안 보이지만 아무리 양치를 해도 아래 앞니 사이에 치석이 계속 쌓이는게 보이는데, 6개월마다 가서 스케일링 해도 괜찮을까요? 아니면 텀을 줄여야 잇몸에 문제가 없을까요? 어금니 잇몸 퇴축이 좀 있는 편이라 더 이상 퇴축이 안왔으면 해서요..
네 치석이 잘쌓이는 경우 3-6개월 간격으로 스케일이 치료를 받길 권합니다.
2) 잇몸 색도 어떤지 한번 봐주세요.. 예전에 어금니쪽에 피가 한창 나서 잇몸치료 받고 양치 조금 더 신경써서 한 이후로는 피는 안나는데 그럼 이제 잇몸이 나아지고 괜찮은거겠죠?🥲 나이는 20대 중반 입니다ㅠㅠ 걱정 많이 안해도 될까요?
네 치석이 쌓이는 경우 치석이 잇몸을 자극하여 출혈을 유발하게 됩니다. 양치시 보다 꼼꼼히 관리하고, 잇몸에 무리가 덜가는 부드러운 칫솔모 사용을 권합니다.
궁금증 해소에 도움이 되시길 바라며, 도움이 되신 경우 '추천' 부탁드립니다.

