아하
  • 토픽

  • 스파링

  • 잉크

  • 미션


의료상담

조신한문어61

조신한문어61

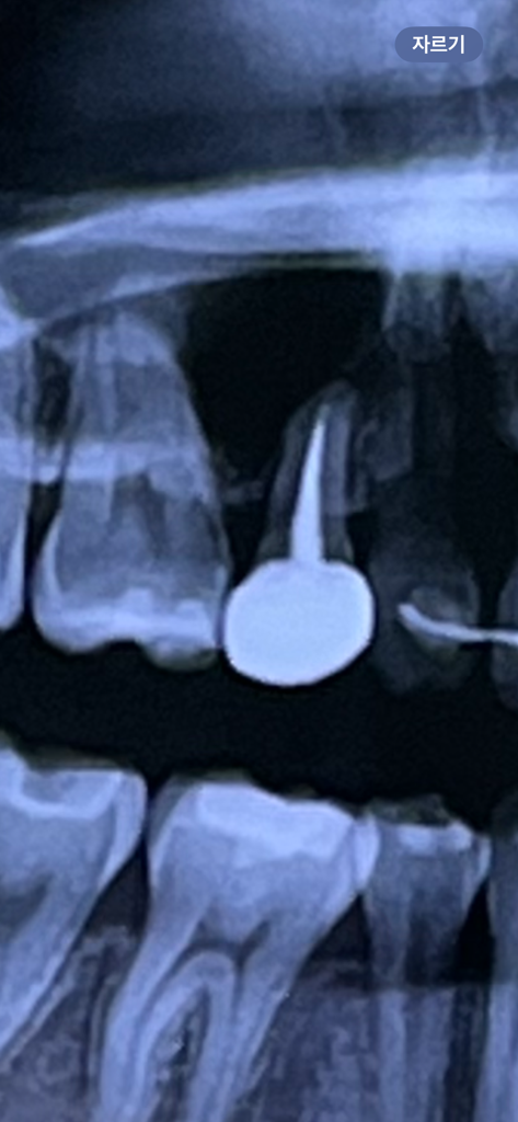
크라운 씌운 곳 염증이 생긴 건가요?


며칠 전에 잇몸치료를 받았긴 했는데 여기가 여전히 누르면 아프더라구요 ㅠ 잇몸 뒤 쪽도 저 치아 주위로 부어있어서 이게 염증인 건가 해서요 ㅜㅜ 잇몸 치료 했는데도 호전이 없으면 어떻게 해야 할까요

  • 1번 째 사진

3개의 답변이 있어요!

  • 김철진 치과의사

    김철진 치과의사

    가까운우리치과

    안녕하세요. 김철진 치과의사입니다.

    신경치료까지 하고 나서 크라운 치료를 한 치아 뿌리끝에 염증이 광범위 하게 잡힌거 같습니다. 저정도라면 대학병원 보존과를 가셔서 상담을 받아보시는게 좋을것같습니다. 재 신경치료, 치근단 절제술을 해서 안되면 발치를 하셔야될수도 있습니다.

  • 안녕하세요. 김지훈 치과의사입니다.

    사진이 어두워서 잘 안보이지만 염증 가능성은 있어 보입니다. 해당 치아가 문제면 뜯고 치료해야할 수도 있습니다.

  • 안녕하세요. 최석민 치과의사입니다.

    파노라마 방사선 사진이고, 신경치료 전/후 비교사진이 없어 애매하긴 하나 현재 사진상으로는 좋지 않아보입니다. 어느정도 치아 뿌리끝 염증이 진행되어 잇몸뼈가 녹은 상태로 보여집니다