아하
  • 토픽

  • 스파링

  • 잉크

  • 미션


의료상담

억수로용기를내는김밥

억수로용기를내는김밥

충치인가요? 잇몸선라인? 치아? 검은색이 보입니다

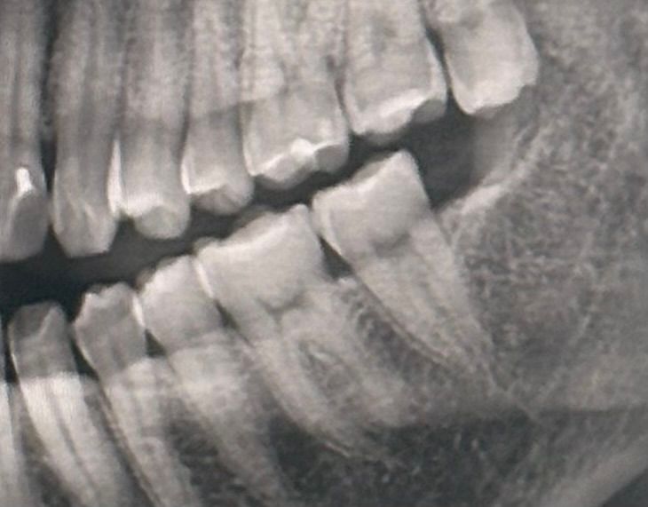
이거 충치일까요? ㅠㅠ 스케일링은 두 달전에 받았고 매일 치실 양치를 열심히 하는데 어느순간 검은선? 같이 보입니다.. 치과가기가 너무 무서워요 충치일까봐

엑스레이는 2주전 찍은 것 입니다

  • 1번 째 사진
  • 2번 째 사진

3개의 답변이 있어요!

  • 안상우 치과의사

    안상우 치과의사

    목동안치과의원

    안녕하세요. 안상우 치과의사입니다.

    사진으로는 정확한 확인이 힘들어 보입니다.

    이전에 충전한 재료 주변의로 착색이 생긴것일수 있습니다.

    자세한 확인을 위해서 치과에서 진료를 받아 보세요.

  • 안녕하세요. 김지훈 치과의사입니다.

    충치가 아닐 가능성이 높아보이지만 사진만으로는 명확히 알 수 없어 치과 검사 받아보시는 게 좋겠습니다.

  • 안녕하세요. 김철진 치과의사입니다.

    치아 사이에 착색이 됫을 가능성이 잇어 보이니 일단은 양치나 치실로 관리를 해보시는게 좋을것같습니다.