의료상담
통증없는 하얀 궤양 구강암 일까요? 걱정됩니다
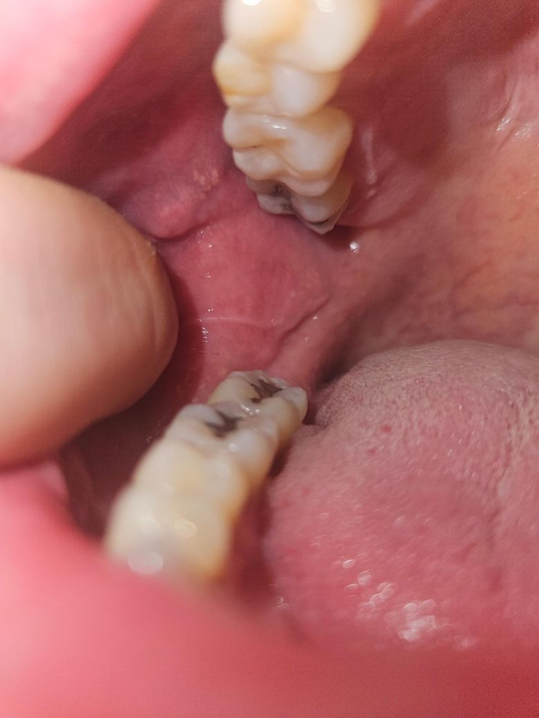
우연히 입을벌리고 보다보니 양쪽에 하얀 점처럼 생긴게 있네요 통증이나 출혈은없습니다 걱정 되네요 6개월전 구강 검진에서는 딱히 코멘트가 없었습니다
1개의 답변이 있어요!
안녕하세요. 최석민 치과의사입니다.
악성병소로 보이진 않습니다. 다만 통증은 없더라도 몇달 이상 지속된 병소라면 정확한 검진을 위해 구강내과 내원하여 조직검사 해보시기 바랍니다.
우연히 입을벌리고 보다보니 양쪽에 하얀 점처럼 생긴게 있네요 통증이나 출혈은없습니다 걱정 되네요 6개월전 구강 검진에서는 딱히 코멘트가 없었습니다
안녕하세요. 최석민 치과의사입니다.
악성병소로 보이진 않습니다. 다만 통증은 없더라도 몇달 이상 지속된 병소라면 정확한 검진을 위해 구강내과 내원하여 조직검사 해보시기 바랍니다.