홈
토픽
스파링
잉크
미션
전문가 신청
베리몰
나도 질문하기
의료상담
갑자기소심한베고니아
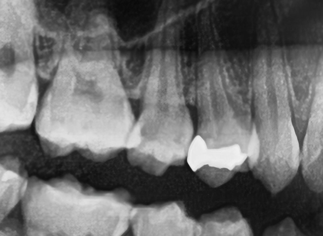
사진에서 가운데에있는 치아 신경치료 하라고 했는데
통증이 없어서요 신경치료는 되도록이면 안하는게 좋다고 하던데 어떻게할까요.. 꼭 해야할까요 ㅠ
사진 보기
1개의 답변이 있어요!
최석민 치과의사
강원도 원주의료원
∙
안녕하세요. 최석민 치과의사입니다.
보다 세밀한 작은 치근단 엑스레이 사진을 찍어봐야 판단이 되겠으나 충치가 있는걸로 보입니다 충치가 있다고, 깊다고 무조건 통증이 있는건 아니고 사람마다 케이스마다 다릅니다
평가
응원하기