아하
  • 토픽

  • 스파링

  • 잉크

  • 미션


의료상담

완전호감있는사탕

완전호감있는사탕

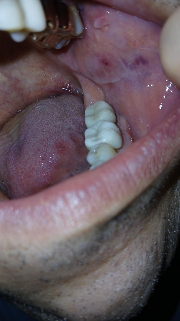
볼점막에 생긴붉은피멍자국이유가 무엇일까요?

성별

남성

나이대

58

갑자기 입안에 사진과같이

피멍같은 자국이 생겨서요.

볼안쪽점막에요

식사하다 씹은기억은없는데

생겨서 걱정됩니다.

혹시 큰병은 아니겠지요?

  • 1번 째 사진

아직 답변이 없어요.