아핫뉴스실시간 인기검색어
아핫뉴스 화산 이미지
화산 아이콘 11
은가인 연예대상
많이 본
아하

의료상담

치과

겁나커다란고등어
겁나커다란고등어

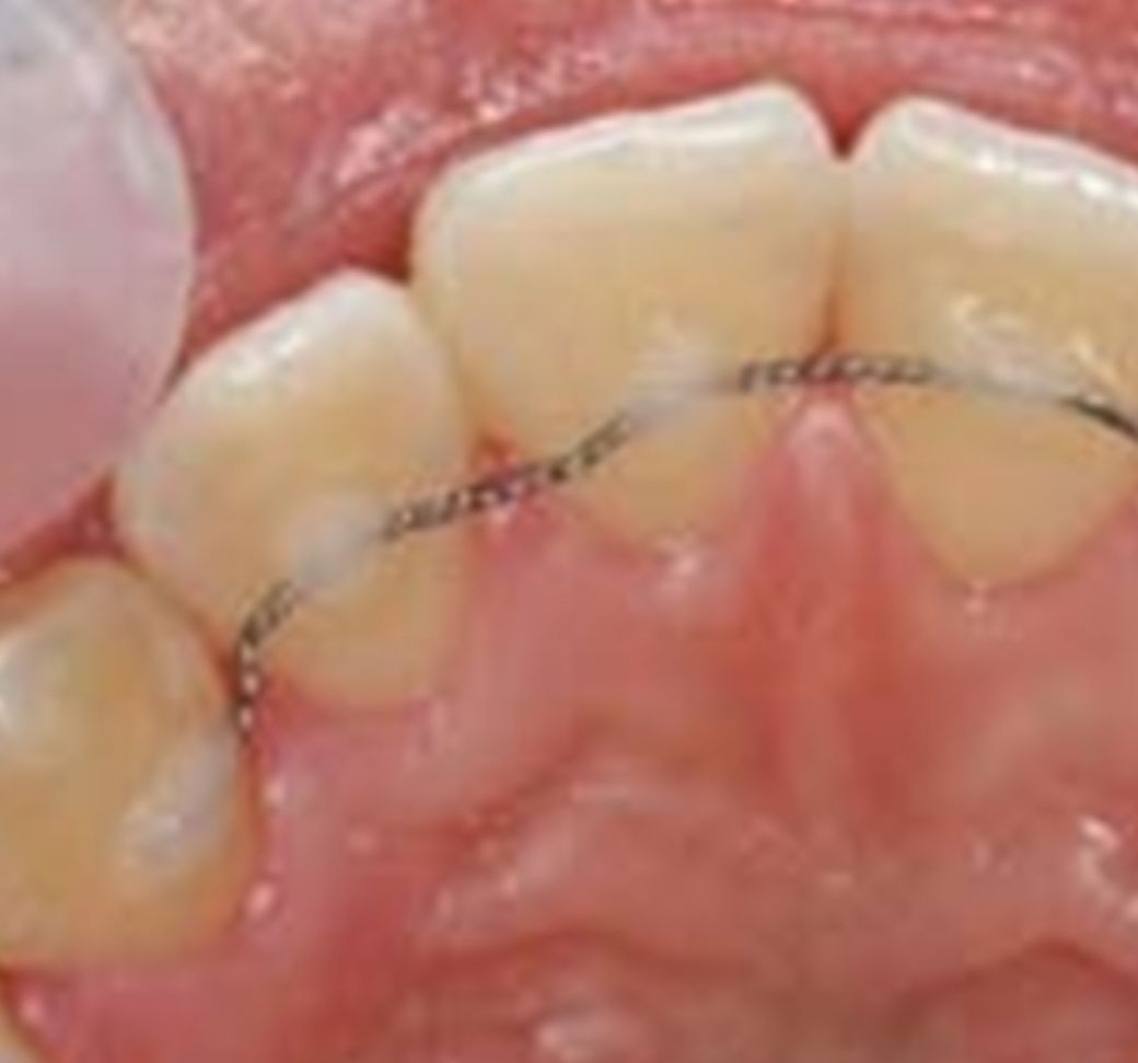
교정후 상악고정식유지장치 철사끊어지고 철사고정시키는 레진만약간씩 붙어잇는경우 제거하고 크라운씌우나요? 그냥 씌우나요?

교정후 하악은 그대로 부착중이고

상악쪽 고정식유지장치 철사중간이 끊어져서

제가 임의로 제거한지 2년정도 됫고 치아뒷쪽에 레진만 약간씩 붙어 잇는상태인데 충치신경치료후 크라운할시 레진 남아서 붙어잇는거 제거하고 하나요? 그위에 그냥씌우나요? 예시)사진과같이

철사는없고 레진만 치아뒤에 남을경우 엑스레이에 잘안보이나요?

  • 1번 째 사진
3개의 답변이 있어요!
  • 안녕하세요. 김지훈 치과의사입니다.

    크라운을 씌워야 하는 경우에는 어차피 치아를 삭제해야하며 레진도 같이 삭제되어 없어집니다.

    1명 평가
  • 안녕하세요. 김철진 치과의사입니다.

    신경치료를 할 치아는 기존에 레진을 다 제거하고 나서 신경치료후에 크라운을 일반적으로 하게됩니다.

    1명 평가
  • 안녕하세요. 안상우 치과의사입니다.

    유지장치는 제거하고 나면 치아를 그대로 사용할수 있습니다.

    하지만 유지 장치르르 제거하게 되면 치아가 이동하게 될수 있기 때문에 가능한 오래 하고 있는것이 좋습니다.

    1명 평가