아하
  • 토픽

  • 스파링

  • 잉크

  • 미션


의료상담

그런대로통통한딸기

그런대로통통한딸기

목젖이 뚱뚱해지고 투명해졌어요....

성별

남성

나이대

30대

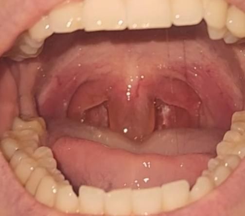
목이 침삼킬때 아프더니

목젖이 투명해지고 뚱뚱한 젤리가 되었는데

이거 왜그런건가요

심각한 문제인가요?...........

  • 1번 째 사진

1개의 답변이 있어요!

  • 옥영빈 의사

    옥영빈 의사

    홍성의료원

    목젖은 점막으로 되어 있어 염증 등에 의해서 쉽게 부어오르거나 할 수는 있습니다. 다만 해당 소견만으로는 정확한 원인 감별 및 진단 등이 가능하지는 않습니다. 바이러스 감염, 역류성 식도염, 비염 및 후비루, 알러지 반응, 기계적인 자극 등 여러가지 요인들이 관련이 있을 수 있습니다. 증상과 관련하여서는 혹시 모르므로 한 번 이비인후과적으로 괜찮은지 진료 및 검진을 받아보는 것이 도움이 될 수도 있겠습니다.