아하
  • 토픽

  • 스파링

  • 잉크

  • 미션


의료상담

불같은코브라217

불같은코브라217

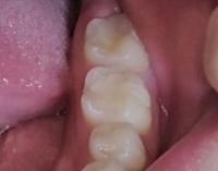
인레이 최종 부착 후 통증이 있고 틈이 있는거 같아요

인레이 부착한지 거의 일주일이 다 되어갑니다.

임시레진을 붙여두었던 기한(일주일) 동안에도 별다른 통증이나 시림이 없어서 최종부착을 하였습니다.

그런데 오늘 밥이나 라면 등을 먹을 때는 치아통증이 없었는데 돈까스를 먹을 때는 좀 아팠습니다.

그래서 양치 할 때 살펴보니 옆면에 손톱이 약간 걸리는 걸 확인했습니다.

인레이가 잘 안맞아서 아픈걸까요?

  • 1번 째 사진

4개의 답변이 있어요!

  • 김철진 치과의사

    김철진 치과의사

    가까운우리치과

    안녕하세요. 김철진 치과의사입니다.

    통증이 잇는경우는 교합이 높아서 그럴수도 잇으니 치과에 가셔서 교합조정을 다시 받아보시는게 좋을것같습니다.

  • 안녕하세요. 김지훈 치과의사입니다.

    인레이의 부착 문제일 가능성도 있습니다. 증상이 지속되면 치료받았던 치과 가보시는 게 좋습니다.

  • 안녕하세요. 안상우 치과의사입니다.

    부분적인 보철물인 인레이를 했을 경우 힘이가 해졌을 때 일시적으로 불편감이 있을 수 있습니다. 교합간섭으로 생기는 불편감이라면 교합을 조정해 주면 괜찮아지는 경우가 있습니다.

    그래도 지속적으로 불편감이 있는 경우에는 다른 치료가 필요할 수 있기 때문에 자세한 확인을 위해서 치과에서 진료를 받아보는 것이 좋습니다.

  • 안녕하세요. 최석민 치과의사입니다.

    인레이 접착 후에는 일주일 정도 약간 통증, 시림이 있을 순 있습니다. 일주일 이상 통증이 지속되면 인레이 접착 실패 내지는 치아 속 신경이 자극을 받고 있는 치수염의 상태일 수 있으니 치과를 가보시기 바랍니다.