의료상담

잇몸 부음 치실 들어가는거 봐주세요.

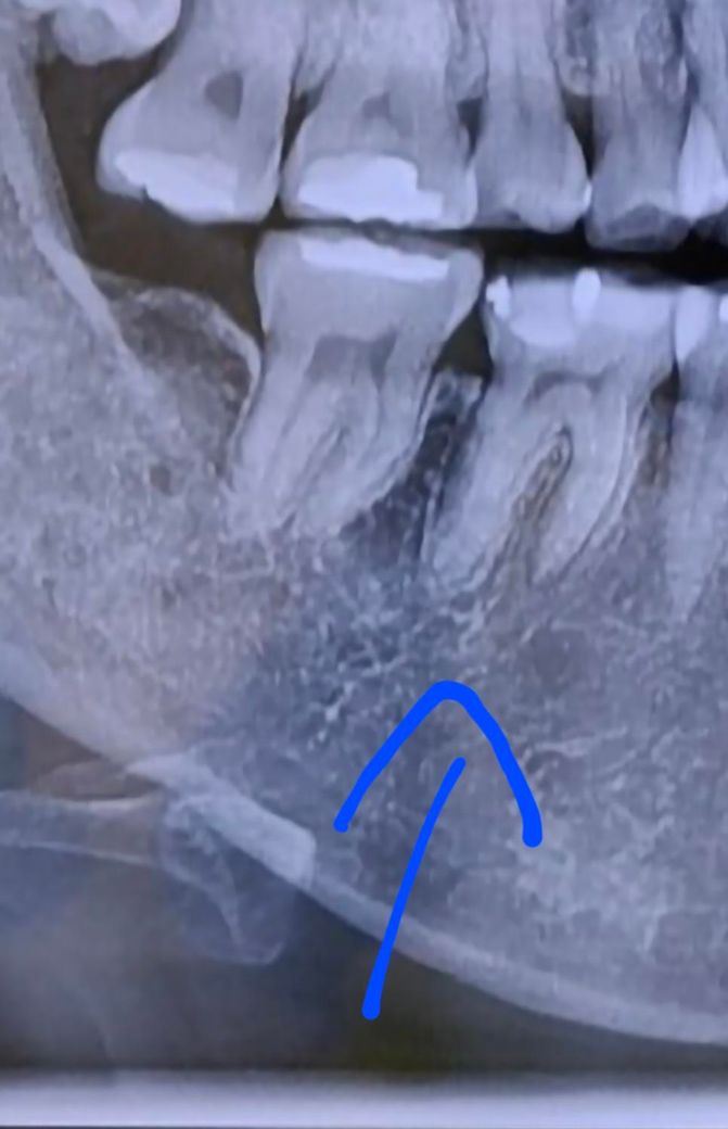
잇몸이 현재 치간칫솔 뻑뻑하게 들어가게 부었습니다.

치실이 화살표 표시까지 안아프게 쑥 들어갑니다.

다른 치아들은 1~2mm정도 억지로 넣으려고해도 많이 안들어가는거 같은데

저기만 치실이 많이 들어가는거 같은데

치료가 되는건가요?

얼마 안된 파노라마 입니다.

뜨거운거 먹으면 시려서 신경치료 예정입니다.

(첫번째사진은 방금 찍은겁니다)

  • 1번 째 사진
  • 2번 째 사진
  • 3번 째 사진

1개의 답변이 있어요!

  • 안녕하세요. 최석민 치과의사입니다.

    신경치료와는 별도로 잇몸 부종에 대해서는 스케일링이나 잇몸치료받고 항생제 약 복용하셔야 합니다

    채택 보상으로 168베리 받았어요.

    채택된 답변