아하
  • 토픽

  • 스파링

  • 잉크

  • 미션


의료상담

금쪽같은쌍봉낙타155

금쪽같은쌍봉낙타155

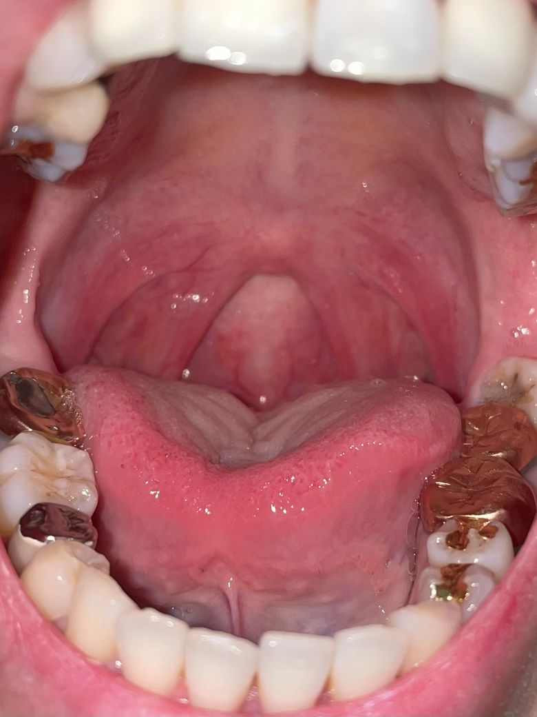
입천장이 뭔가 불편한 것 같아요(사진있음)

성별

여성

나이대

28

갑자기 입천장 느낌이 이상해요

가만히 있을 때는 괜찮은데

입맛을 쩝하고 다시거나하는??

입안의 움직임이 있으면 입천장 쪽이 살짝 당기는듯한 느낌이 나요

사진 보시고 한말씀 해주시면 감사하겠습니다...ㅠㅠ

  • 1번 째 사진

2개의 답변이 있어요!

  • 김수비 의사

    김수비 의사

    QUB

    안녕하세요. 김수비 의사입니다.

    사진으로는 정확한 진단 불가능하며 병원 방문하셔서 직접 육안으로 진료 보셔야 합니다

    말씀하신 증상 관련 답변 드리자면 여러 가지 원인이 있을 수 있습니다. 가장 흔한 원인은 구강 점막의 건조나 입안의 자극입니다. 또한 구내염, 입천장의 염증, 또는 근육의 긴장이 원인일 수 있구요. 입을 자주 움직일 때 당기는 느낌이 있다면, 근육이나 점막에 작은 자극이 있을 가능성도 있어요. 만약 통증이 동반되거나 증상이 지속된다면, 구강 내과나 치과에서 검사를 받는 것이 좋습니다

  • 증상이 매우 비특이적인데, 아쉽지만 올리신 사진의 소견을 통해서 보았을 때에도 당창 크게 이상이 있어 보이는 부분이 딱히 있어 보이거나 하지 않습니다. 관련하여서는 증상이 지속되고 반복되는 양상이라면 문제가 있는 것은 아닌지 이비인후과적으로 구체적으로 진료 및 검진을 받아보아 감별을 해보시는 것이 필요할 것으로 사료됩니다.