아핫뉴스실시간 인기검색어
아핫뉴스 화산 이미지
아하

의료상담

치과

레알익살스러운계란찜
레알익살스러운계란찜

어금니끼리 맞물릴때 교합면이 아픈데 레진이 떨어진 건가요?

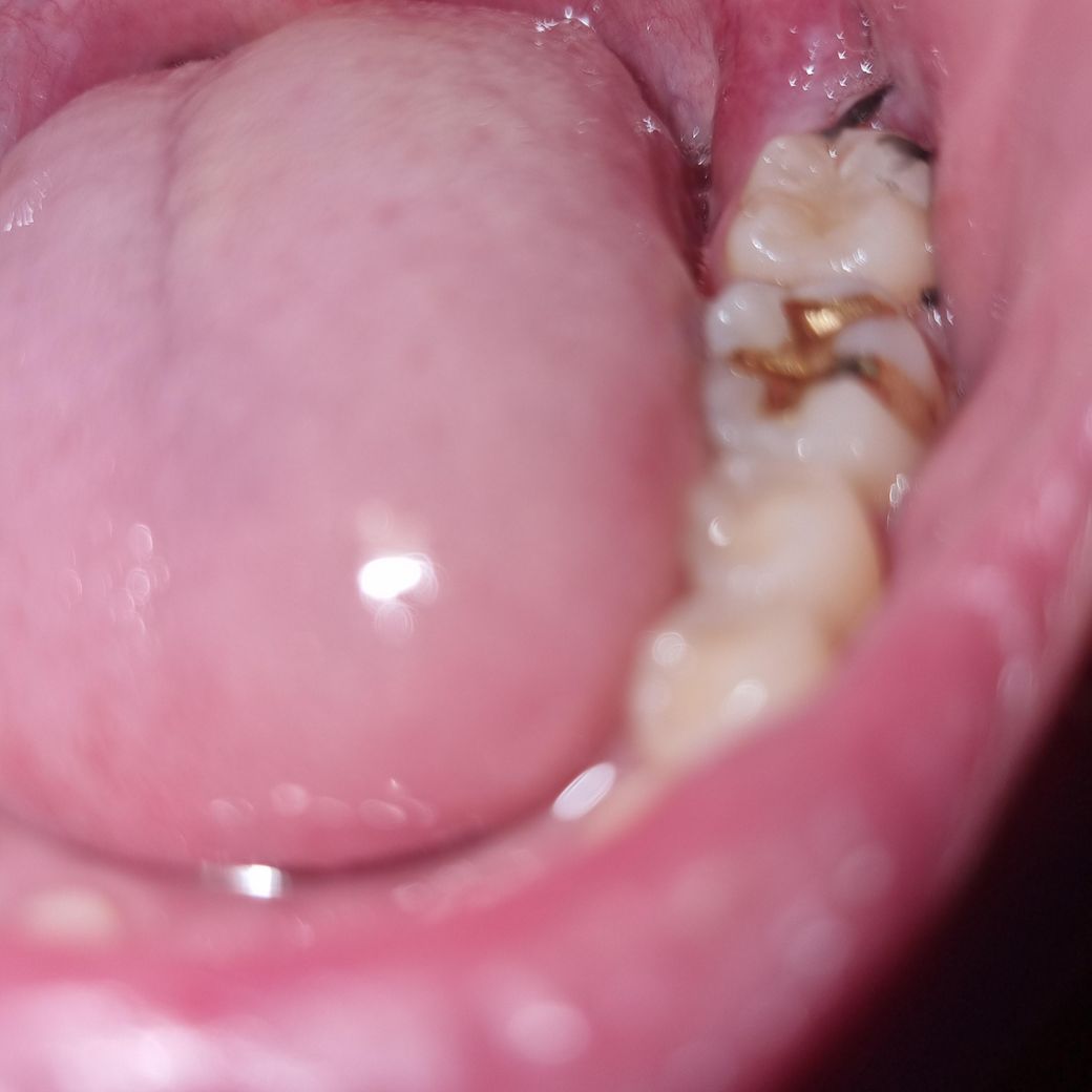
일주일 전에 위아래 어금니 충치를 레진으로 치료했는데 어제 양치하다가 아래 어금니에 붙은 노란게 떨어졌어요. 이게 레진인지는 정확히 모르겠고 뭔가 묘하게 그 부위가 파인 것 같기도 한데... 저는 확실히는 모르겠고ㅜㅜ 일단 어금니끼리 맞물릴때 아래 어금니에 통증이 있는데 치과에 가서 확인해달라고 해야하나요? 위에 어금니는 아프지 않습니다

사진은 화질은 안 좋지만 혹시 몰라서 첨부해봅니다..

  • 1번 째 사진
  • 2번 째 사진
4개의 답변이 있어요!
  • 안녕하세요. 김지훈 치과의사입니다.

    사진에서는 통증의 원인이 될 만한 것은 보이지 않지만 교합 이상 등이 있을 수 있으니 통증이 있으면 치과 가보셔야 합니다.

  • 안녕하세요. 김철진 치과의사입니다.

    레진은 쉽게 떨어지진 않습니다 . 사랑니 발치를 하신거 같은데 사랑니 발치한 곳의 음식물이 아닐까 생각됩니다.

  • 안녕하세요. 안상우 치과의사입니다.

    레진으로 치료를 하고 난 다음에 레진이 탈락된다면 해당 조 부위가 파인 것처럼 느껴질 수 있습니다.

    또한 수복 치료를 받고 난 다음 교합이 높다면 치아에 과도한 힘이 가지게 되어 불편감이 유발하고 될 수 있습니다.

    이런 경우에는 레진을 다시 수복해 주거나 높이를 맞춰줘야 할 수 있습니다. 자세한 확인을 위해서 치과에서 진료를 받아 오는 것을 권해드립니다.

  • 안녕하세요. 최석민 치과의사입니다.

    사진이 흐려 정확히 보이진 않으나 레진이 탈락하진 않은 것 같습니다. 노란 건 아마 이물질, 치석이 아닐까 싶습니다. 레진 치료 후에는 1주 정도 약간 통증, 시림 등이 있을 순 있습니다.