아핫뉴스실시간 인기검색어
아핫뉴스 화산 이미지
화산 아이콘 11
이노스페이스 주가 급락
아하

의료상담

치과

Smsmsmsmsmsm
Smsmsmsmsmsm

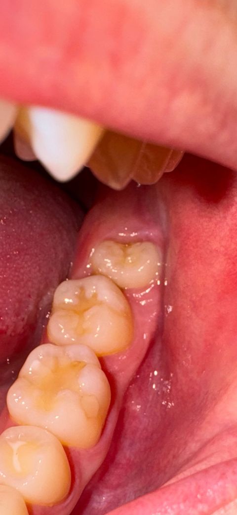
사랑니와 어금니 사이 썩은것같나요?!!ㅠㅠ

사랑니 사이 썩은건지 아닌지 잘 모르겠어서요.. 통증이나 붓기는 없는데 사이가 좀 까만거같기도해서요… 겨울에 뽑을건데.. 그때까지 괜찮을지 걱정이네요

  • 1번 째 사진
4개의 답변이 있어요!
  • 안녕하세요. 김지훈 치과의사입니다.

    썩은 것으로 보이지는 않습니다만 사랑니 위치가 썩기 좋아서 관리를 더 잘해줘야겠습니다.

  • 안녕하세요. 안상우 치과의사입니다.

    치아사이는 운명이 생길 수 있기 때문에 검은색으로 보일 수 있습니다 충치의 여부를 정확히 확인하기 위해서는 방사선 사진 등의 추가적인 검사가 필요할 수 있습니다.

    자세한 확인을 위해서 치과에서 진료를 받아 보는 것을 권해 드립니다

  • 안녕하세요. 최석민 치과의사입니다.

    사랑니는 약간 충치가 있는 것으로 사진상 보입니다. 다만, 그 옆 어금니는 정확히 관찰되진 않습니다. 발치 전까지 관리를 잘해주시기 바랍니다. 옆면 충치는 한쪽이 생기면 양쪽 2개 치아가 영향을 받게될 가능성이 큽니다.

  • 안녕하세요. 김철진 치과의사입니다.

    엑스레이도 찍어보고 저부분은 사랑니 발치를 하고나서 육안으로 다시 확인해봐야 알것같습니다.