의료상담
코 엑스레이를 찍었는데요. 궁금한 게 생겼어요.
성별
남성
나이대
30
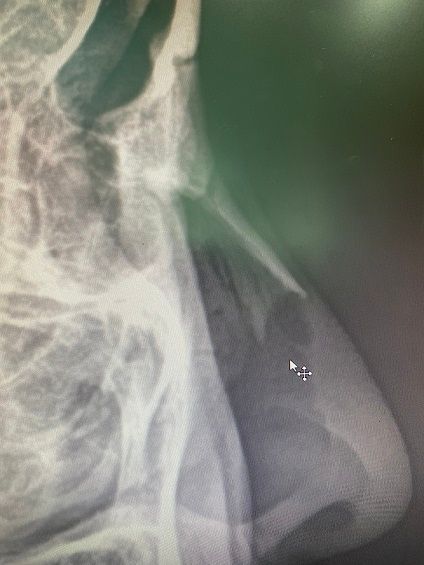
몇 일 전에 찍은 코 엑스레이 사진인데요.
사진에 제가 빨갛게 표시해놓은 부분요.
이 부분은 뼈도 아닐텐데, 엑스레이에서 왜 하얗게 보이는 건가요?
갑자기 궁금증이 생겨서 질문드렸어요.
감사합니다.
55글자 더 채워주세요.
2개의 답변이 있어요!
안녕하세요. 아하(Aha) 의료분야 답변자 외과 전문의 배병제입니다.
코 엑스레이에 대해 궁금하시군요. 붉은색으로 표시하신 부분은 코에 존재하는 연골입니다. 뼈보다는 덜 하얗게 보이지만 분명 그 윤곽을 확인할 수 있습니다.
저의 답변이 도움이 되셨길 바랍니다.
안녕하세요. 강성주 의사입니다.
해당부분은 연골로 칼슘등이 있고 이또한 고체성분이기 때문에 뼈보다는 옅은 흰색으로 보일 수 있습니다

