강아지 엑스레이랑 방사선 검사 봐주세요ㅠㅠ
강아지가 목줄을 하고 산책 중에 갑자기 집에 가려고 차도로 뛰어드는바람에 교통사고가 났습니다. 천천히 달려오는 차에 부딪히기는 했지만 걱정돼서 바로 병원으로 갔고 엑스레이, 초음파, 혈액검사 다 시행했지만 이상이 없다고 얘기했습니다. 그런데 사고 이후로 계속 토를 해서 병원에 가서 구토약이랑 진통제를 받아와서 먹였는데도 계속 구토를 하네요ㅠ 사료를 그대로 토하는데 이게 스트레스때문인지 아니면 검사상에 이상이 있는지 여쭤보고 싶어서 글 남깁니다. 또한 가슴쪽을 부딪혔는데 흉부 엑스레이 상에서 이상소견이 있는지 확인 좀 부탁드립니다.
안녕하세요. 박주찬 수의사입니다.
사고가 얼마나 크게 났는지는 모르겠지만, 지속적으로 구토를 한 경우 머리쪽이 다쳐서나 혹은 알 수 없는 통증 등으로 인한 증상일 수도 있습니다.
일반적으로 사고가 나면 바로 증상이 나타나는 경우는 많지 않아서 하루 정도 대증처치하고 지켜보신 후 퇴원 하는 것이 좋습니다.
저녁에라도 좋지 않은 경우 메디컬 센터라도 가셔서 치료 하시는 것을 권유드립니다.
안녕하세요. 이광섭 수의사입니다.
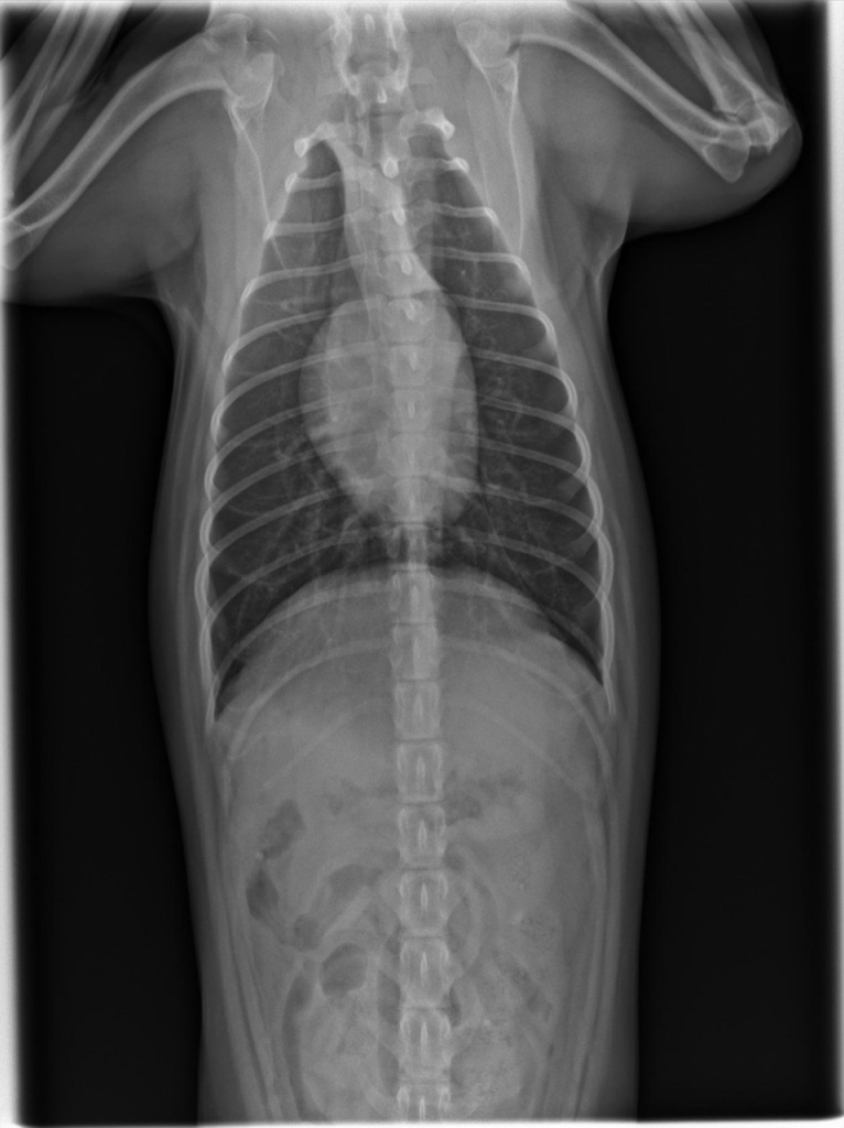
큰 이상 없어보입니다. 다만 사고 후 놀람과 충격으로 인해 장 기능이 일시적으로 놀라 구토, 설사가 지속될 수 있습니다. 당분간 안정을 취해주시면 해결 되니 너무 걱정 마시기 바랍니다.
안녕하세요. 이은수 수의사입니다.
흉부 엑스레이상에서는 교통사고와 관련한 특별한 이상이 관찰되지 않습니다.
초음파 검사의 경우 초음파를 직접 본 사람이 아니면 찍어놓은 사진으로는 아무런 판단을 할 수 없고 해서도 안됩니다.
주치의의 판단이 가장 정확한 판단이겠으나 지현형으로 장기 손상이 일어나는 경우가 종종 있기 때문에 증상이 지속된다면 복부 초음파 검사를 다시 받아볼 필요가 있어 보입니다.
우선 주치의와 상의해 보시기 바랍니다.

