아하
  • 토픽

  • 스파링

  • 잉크

  • 미션


의료상담

솔직한칠면조181

솔직한칠면조181

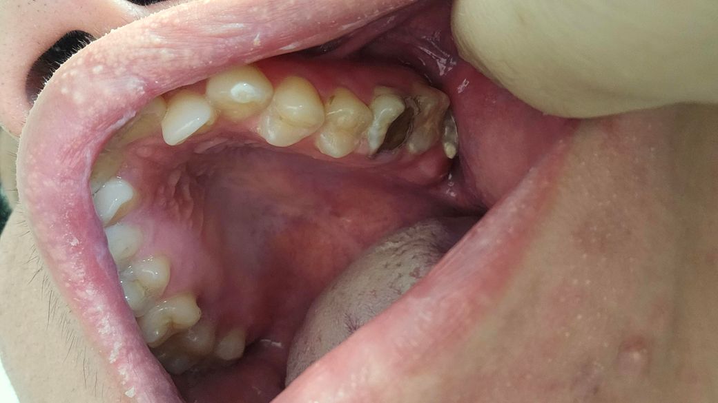
치과 갔면 무슨 치료 가능하가?아니면 발치하는가

제가 11월2일 치과 갔는데요 조금 늦게 갔는것가요? 제가 이사진찍히이빨상태 이렇게되는데요 다음주 토요일 갔도 치료할수있나요 알려주세요

치과 갔면 어떤치료를받을수

수있나요 발치는 가능한가요? 마취하고치료하나요

  • 1번 째 사진
  • 2번 째 사진
  • 3번 째 사진

5개의 답변이 있어요!

  • 김지훈 치과의사

    김지훈 치과의사

    메가

    안녕하세요. 김지훈 치과의사입니다.

    치아의 상태가 안좋기 때문에 임플란트를 해야할 가능성이 높아보이고 종합적인 치료가 필요해보입니다.

  • 안녕하세요. 송우식 치과의사입니다.

    충치가 있는 경우 충치치료를 하게 됩니다. 우선 보다 정확한 상태 확인을 위해 치과 진료가 필요로 되며, 토요일에도 진료가 가능한 병원이 있기에 사전에 예약을 하고 방문하길 권합니다.

    만족스러운 답변되셨으면 합니다.

    ★평가★ 감사합니다.

  • 안녕하세요. 김철진 치과의사입니다.

    사진상으로는 아래치아는 발치를 해야될것같고, 위쪽치아는 엑스레이 사진을 찍고 나서 치료 방법을 선택해야될것같습니다.

  • 안녕하세요. 안상우 치과의사입니다.

    사진으로 봤을 경우에는 충치가 매우 많이 진행된 것으로 보입니다. 충치가 치아 뿌리까지 진행되었다면 치아를 발치하고 임플란트 치료 등이 필요할 수 있습니다. 자세한 확인을 위해서 치과에서 진료를 받아보는 것을 권유 드립니다.

  • 안녕하세요. 최석민 치과의사입니다.

    치아 충치가 아주 깊습니다. 엑스레이 찍어보고 좀 더 검사를 해봐야겠으나 치료가 가능하다면 신경치료하고 씌우는 치료이나 발치 가능성이 높을 것 같습니다. 발치 가능합니다. 마취합니다.