의료상담
교정 궁금증 (6개월차에 아랫니 두개 브라켓 부착)
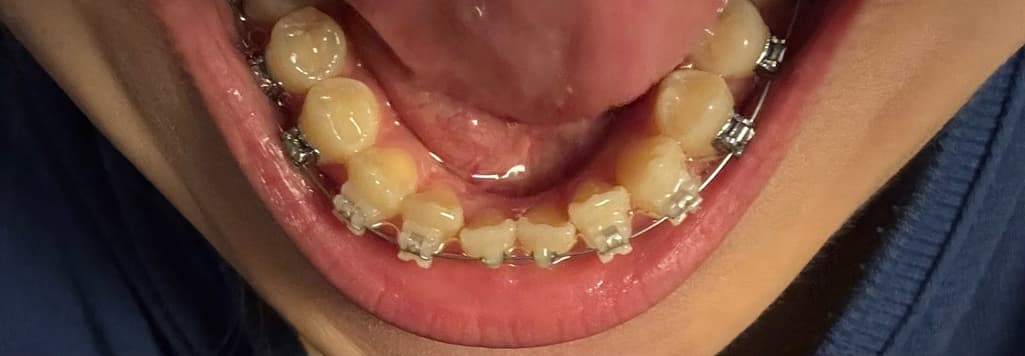
교정 6개월 차이고 1년에서 1년반 정도 걸린다고 들었는데요. 스크류 박고 당기기 1개월 진행 한 상태에서 아랫니 2개만 오늘 브라켓을 붙이고 다시 얇은 철사부터 펴기 진행중입니다. 또 다서 펴기 하고 당기기를 한다는데 원래 이렇게도 진행을 하나요? 그리고 펴질 공간이 있나요?? 펴지면 또 윗니랑 부딪히지 않을까요
55글자 더 채워주세요.
3개의 답변이 있어요!
안녕하세요. 김철진 치과의사입니다.
치아를 이동을 시켯다면 이제는 치아를 배열하고 교합을 맞추는 작업을 시작하는거 같습니다.
1명 평가안녕하세요. 김지훈 치과의사입니다.
위 사진만으로는 알 수 없습니다. 원래 교정 중에는 피고 당기는 과정을 반복하기도 합니다.
1명 평가안녕하세요. 안상우 치과의사입니다.
아래치아를 피기 위해서는 공간이 필요합니다. 공간이 없는 경우에는 앞니가 약간 앞으로 나오면서 해당 부분에 치열이 배열되게 됩니다. 사진과 같이 공간 확보를 하지 않은 상태에서 브라켓을 붙이고 와이어를 결찰한 원인은 치아가 이동할 공간이 있기 때문일 것으로 생각됩니다.
자세한 확인을 위해서 교정치과에서 진료를 받아보는 것을 권유드립니다.
1명 평가

