아하
  • 토픽

  • 스파링

  • 잉크

  • 미션


의료상담

스페인바리스타

스페인바리스타

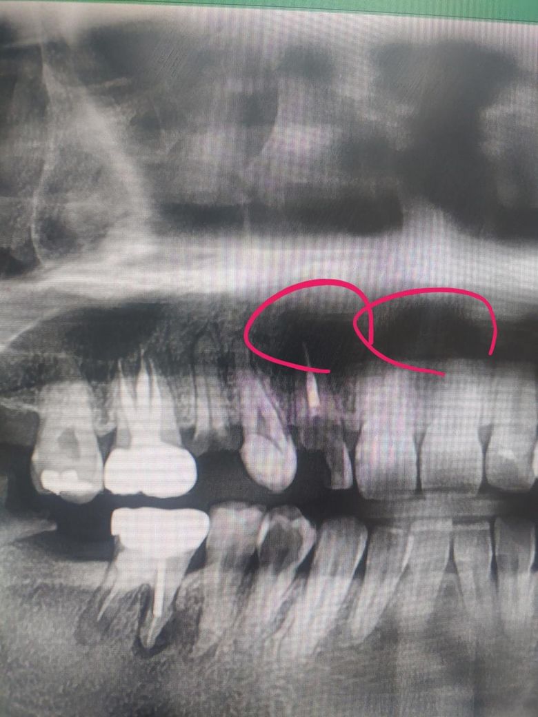
치아 파노라마 상에 앞니들 위에가 검게 보이는데 잇몸 뼈랑 뿌리가 염증때매 녹은걸까요?

치아 파노라마 상에 앞니들 위에가 검게 보이는데 잇몸 뼈랑 뿌리가 염증때매 녹은걸까요..................?

  • 1번 째 사진
  • 2번 째 사진

3개의 답변이 있어요!

  • 김지훈 치과의사

    김지훈 치과의사

    메가

    안녕하세요. 김지훈 치과의사입니다.

    위쪽에 나타나는 검은 색 부분은 충치나 염증에 의해서가 아닌 조직의 밀도에 의한 차이로 인한것입니다.

  • 안녕하세요. 김철진 치과의사입니다.

    저부위는 잇몸뼈가 녹은게 아니라 연조직과 겹쳐서 보이는곳 또는 콧구멍등이 겹쳐서 그렇게 보이는겁니다.

  • 안녕하세요. 송우식 치과의사입니다.

    잇몸 뼈와 치근의 염증으로 인한 녹음(흡수)일 가능성도 있습니다. 치아 뿌리 주변에 염증이 생기면, 그 부위의 뼈가 흡수되어 검게 나타나게 됩니다.

    보다 정확한 상태 확인읠 위해 치과에 방문하여 실제로 상태를 보면서 확인이 필요로 됩니다.

    만족스러운 답변되셨으면 합니다.

    ★평가★ 감사합니다.