아핫뉴스실시간 인기검색어
아핫뉴스 화산 이미지
화산 아이콘 11
이제훈 걸그룹 변신
많이 본
아하

의료상담

치과

꾸준한까치209
꾸준한까치209

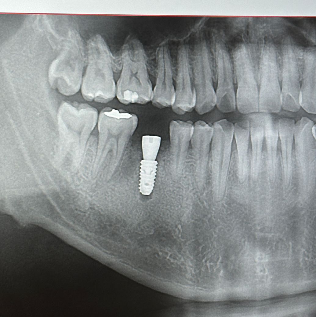
오늘 임플란트 수술+뼈이식 받았는데요

잘된걸까요? 다음3달이후에는 다시 수술할필요가앖이 바로 머리올린다고 하시네요

괜히 수술하니까 부작용있진않을끼 걱정되는데요

혹시 수술후에 조심해야하는점이나 알아야하는점 있을까요? 아 그리고 아침 저녁으로 턱에 마사지를 해주라고하는데 수술한 부위만 하면되나요?

그냥 손으로하면되나요 무슨 찜질 이런걸 해야하나요?

  • 1번 째 사진
  • 2번 째 사진
  • 3번 째 사진
5개의 답변이 있어요!
  • 수술 이후에 1~2일 정도는 따뜻한 찜질을 해당 부위로 해주시면 좋습니다. 그 이후에는 차가운 찜질이 도움이 됩니다. 실밥을 제거하기 전까지는 금주가 필요하고, 임플란트가 완성될때까지는 절대적인 금연이 필요합니다. 또한 1~2주 정도는 너무 자극적인 음식을 피하셔야 하며, 해당 부위로 직접적으로 음식 섭취는 제한해야 합니다.

    아무쪼록 저의 답변이 문제 해결에 작게 나마 도움이 될 수 있기를 기원드립니다. 항상 건강하고, 행복하세요^^

    정진석 치과의사 드림

  • 안녕하세요 치과의사 김철진입니다. 불편하지 않다면 특별히 마사지를 하지 않으셔도 됩니다. 붓기가 잇다면 얼음 찜질을 하시면될것같습니다.

  • 임플란트 수술을 하고 나서는 임플란트가 치조골과 잘 결합이 되어야 합니다 이렇게 결합이 되기 위해선 가장 중요한 것이 흡연 등으로 인해서 해당 부위가 잘 아물지 않는 것을 방지해야 합니다 또한 임플란트 수술한 부위가 아무런 2주 동안 해당 부위를 자극하지 않는 것이 좋습니다

    1. 임플란트 뿌리를 심은 후(1차 수술)에 임플란트 뿌리가 뼈에 붙을 때까지 뚜껑을 닫아두는데 두 종류가 있습니다. 그 중에 2차 수술을 진행하지 않아도 되는 타입(힐링 어버트먼트)을 달아둔 상태입니다. 3달 후 다시 수술할 필요가 없다는 것은 그걸 의미하고요.

    2. 수술 후에는 일반적으로 치과 수술 후 주의해야 하는 것과 동일합니다. 1~2주 정도는 금주, 금연해주시고 자극적인 음식피하시고 무리한 활동이나 격한 운동은 피하셔야 합니다. 처방된 약 잘 드셔야 합니다.

    3. 만약 수술부위가 좀 부으면 그때 얼음찜질해주시면 됩니다.

  • 손으로 마사지를 하여 주면 되며, 해당부위 붓기 및 통증이 있는 경우 냉찜질을 하여 주는 것이 좋습니다.

    궁금증 해소에 도움이 되시길 바라며, 도움이 되신 경우 '👍 ' 눌러주길 부탁드립니다.