아핫뉴스실시간 인기검색어
아핫뉴스 화산 이미지
화산 아이콘 11
서울광장 스케이트장 개장
아하

의료상담

치과

닉넴없으
닉넴없으

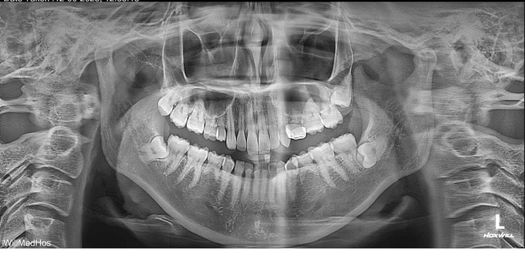
사랑니 발치해야 하나요? ㅠㅠ 봐주세요!!!

저는 영구치 결손이 6개 정도 있어요.

이런 상황에서도 사랑니를 꼭 발치해야 하는지 궁금해서 파노라마를 찍고, 그 뒤에 CT까지 찍어봤어요.

치과에서는 모두 발치해야 한다고 하시더라구요…ㅠㅠ

혹시 파노라마는 왼쪽에 보이는 치아가 실제로는 오른쪽 치아 맞나요?

아랫니 사랑니들은 누워 있어서 발치해야 한다는 건 이해했는데,

오른쪽 윗사랑니는 그나마 일자로 난 것 같아 보이는데 이것도 꼭 빼야 하는 걸까요?

영구치 결손이 있어서 “나중에 대체 치아처럼 쓰일 수 있을까?” 싶었는데, 그런 사용도 불가능한 건지… 궁금해요.

그리고 제가 찍은 사진 속 사랑니들은 모두 매복 맞나요?

이런 경우에는 발치할 때나 발치 후 통증이 많이 심한 편인지도 알고 싶어요.

저처럼 치아가 부족한 경우에도 다 뽑는 게 맞는 건지 너무 걱정돼요ㅠㅠ

  • 1번 째 사진
1개의 답변이 있어요!
  • 안녕하세요. 최석민 치과의사입니다.

    1. 오른쪽 위 사랑니는 관리만 잘 된다면 안빼도 될 것 같습니다. 매복 아닙니다. 나머지는 매복입니다.

    2. 어차피 매복 사랑니는 자가치아이식으로 쓰기 어렵습니다 발치 할 때 치아를 쪼개서 뽑거든요. 그런 기대를 가지고 사랑니 발치를 안하는 건 말이 안됩니다.