치과의사분들꼭좀 바주세요…..
안녕하세요….
정말 벼락끝에 온거 같아서 선생님들의 도움을 얻고자 문의드립니다
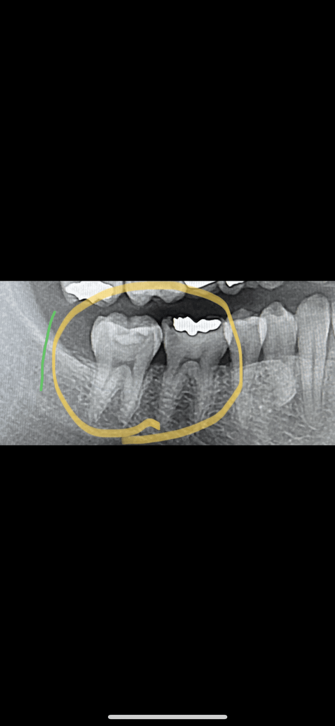
저xray는 작년 4월 사진입니다
사진을 보면 46번에 충치가 생겻지만
통증은 47번에 잇어서 47번을 신경치료 하엿습니다
근데도 지속적인 통증으로 46번 신경치료 하엿습니다
46번 신경치료 후 지속적인 통증으로 대학병원까지가며
일년동안 재신경치료를 하엿습니다….
엑스레이상 외관상 깨긋하고 염증도 없엇지만
지속적인 자발통 에 의해저번달에 발치하엿습니다(46번)
분명 발치전 47번 치통은 아니겟지하며
이것저것도 씹어보고 테스트 해보고
46번인거ㅜ같아서ㅜ발치 하엿습니다….
발치후 드라이 소켓이와서 몇주 고생하다 이제 내일이면
한달째인데…발ㅊㅣ한데가 아픈게 아니라
옆치아가ㅜ아파여
씹으면 46번 아팟늘때 처럼 똑같은 통증이오구요
가마니 잇어도 자발통이 잇어요….
정말 미치고 환장하겟ㄴㅔ요
또 발치해야하는거ㅜ일가여 47번
아님 재신경치료를 해야하나요??..
새상에 이런경유가 잇을가요 저처럼??..
발치후 통증이라기엔…한달째인데 아닐거고…
처음부터 47번 치아가 문제엿을가요??..
도와주세요 선생님들
엑스레이 찍고 외관상 바도 아무 문제 업답니다
염증도 없고…..저는 통증 때문에 미치겟네요…
안녕하세요. 김바른 치과의사입니다.
일반적인 경우는 아닌것 같습니다.
해당 경우처럼 복잡한 병력, 통증에 대한 민감도가 높은 경우에는 대학병원 치과를 권해드립니다.
답변되셨길 바랍니다.
안녕하세요. 정진석 치과의사입니다.
치성 통증이 아닐 가능성이 있어 보입니다. 즉 치아가 아닌 주변 신경에 의해서 나타나는 자발통 및 불편감일 가능성이 있으므로 대학 병원 내 구강내과를 방문하여 해당 증상이 나타나는 원인을 찾아 파악해보는 것이 필요해보입니다. 치아가 원인이 아닐 가능성이 있어 보입니다.
아무쪼록 저의 답변이 문제 해결에 작게 나마 도움이 될 수 있기를 기원드립니다. 항상 건강하고, 행복하세요^^
정진석 치과의사 드림
안녕하세요. 김철진 치과의사/경제·금융전문가입니다.
외관상으로도 문제가 없고, 충치도 없으신데 자발통이 있다면 아무래도 치아에 금이가지 않앗나 의심이 됩니다. 치아에 금이간경우 신경치료로 해결될수도 있지만, 통증이 안잡히는경우에는 어쩔수 없이 발치해야될 상황이 발생할수도 있습니다.대학병원에서 진료를 받으셧다면 일단은 치료 해주시는 선생님들 믿고 치료를 받아보는방법밖엔 없습니다.
안녕하세요. 이정현 치과의사입니다.
대학병원에서 재신경치료를 하고 염증이 없었다면 최소한 신경치료적인 면에서 문제는 없었을 것으로 보입니다.
47번도 현재 사진상 염증이 안보인다면, 현재의 극심한 자발통의 원인이 치아자체에 있기보다는, 근육에 의한 연관통의 가능성도 잇어보입니다.
대학병원의 구강내과에서 진료를 받아보시기 바랍니다. 감사합니다.

