의료상담

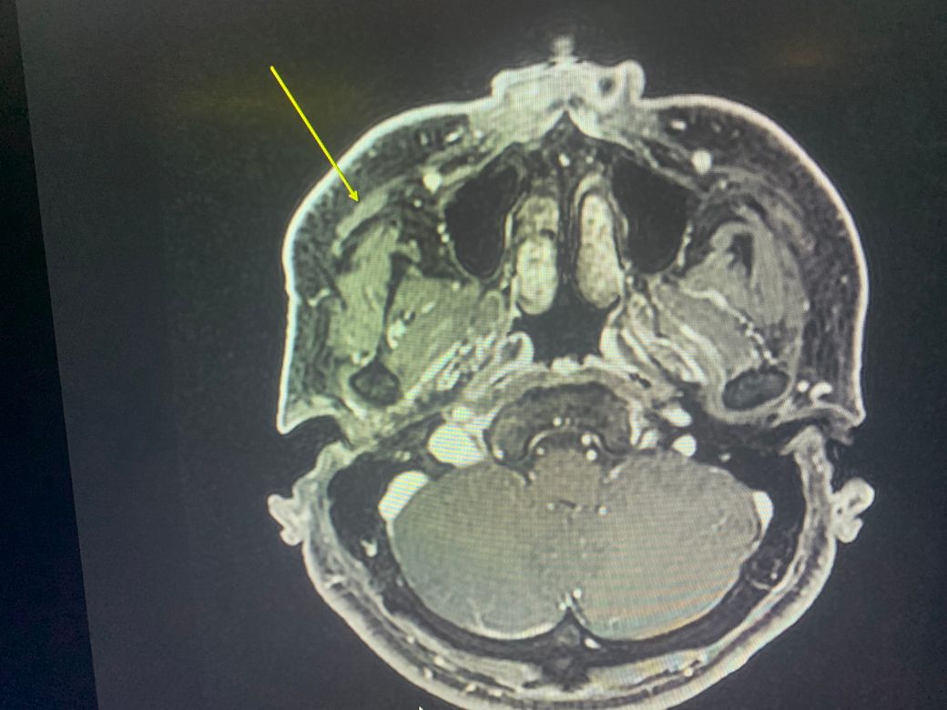
Mri좀 봐주세요 광대뼈아래에 큰소리가 났습니다 소리난 후로 앞광대주변으로 통증이 있어서 mri를 찍었는데 저렇게 하얗게 나왔는데요. 수술로 치료가 가능할까요.

성별

남성

나이대

43

기저질환

없음

복용중인 약

없음

오육년전에 앞광대 바로 아래에서 뭐가 부러지는소리가 나고 지금까지 얼굴에 계속 부종 통증이 있습니다

무슨과로 가야 치료/수술을 받을수 있을까요. 얼굴이 계속 붓습니다

  • 1번 째 사진
  • 2번 째 사진
  • 3번 째 사진

아직 답변이 없어요.