아핫뉴스실시간 인기검색어
아핫뉴스 화산 이미지
화산 아이콘 11
이재명 대통령, 대한노인회 오찬
아하

의료상담

치과

대단한콘도르114
대단한콘도르114

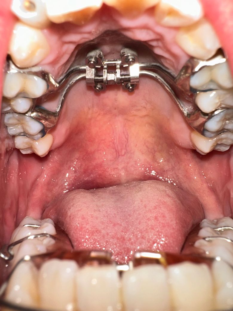
악궁확장장치에서 소리가 난걸까요?

5월 중순에 확장장치 식립해서 현재까지 확장 중에 있고 중간 중간에 휴식기 가지면서 돌려서 장치에 데미지를 많이 주지도 않은거 같은데 자다가 갑자기 장치에서 난건지 악궁뼈에서 난건지 하여튼 자다가 제가 들을 정도로 소리가 느껴졌는데요.

근데 이제와서 악궁에서 난거 같진 않은게 이미 이전에 악궁확장하면서 치아에서 빡 소리가 났어가지고

제가 보기엔 장치에서 난 소리가 맞는거 같은데

나중에 장치 돌려보고 확장되는 느낌이 안난다면 치과에 바로 내원하는게 맞겠죠?

아직 내원 날짜가 좀 남아서요..

  • 1번 째 사진
  • 2번 째 사진
  • 3번 째 사진
  • 4번 째 사진
3개의 답변이 있어요!
  • 안녕하세요. 김지훈 치과의사입니다.

    사진으로는 어떠한 이상이 보이진 않습니다. 증상을 듣고는 한계가 있으니 치과 가보시는 게 좋겠습니다.

    1명 평가
  • 안녕하세요. 김철진 치과의사입니다.

    소리가 어디서 난건지는 정확히 알수는 없을것같습니다. 불편하거나 아픈곳이 잇다면 치과에 가셔서 검진을 받아보시는게 좋을것같습니다.

    1명 평가
  • 안녕하세요. 최석민 치과의사입니다.

    장치에서 딱 소리가 난 것 같기도 합니다 치과에 한번 내원해서 체크를 해보면 좋을 것 같습니다

    1명 평가