아핫뉴스실시간 인기검색어
아핫뉴스 화산 이미지
아하

의료상담

치과

Ddy
Ddy

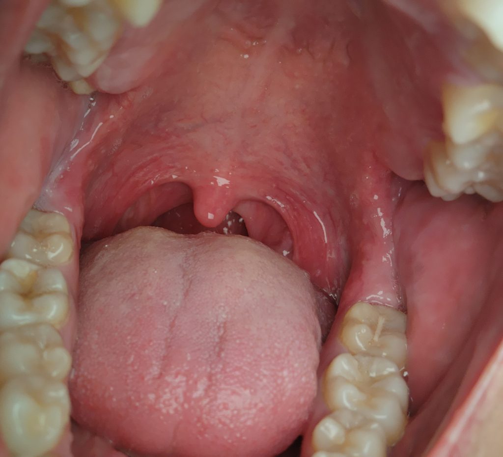
구후융기 쪽이 부은 것 같습니다

이틀전부터 음식을 씹을 때마다 잇몸이 같이 씹히는

불편감이 있었는데 후레쉬로 밝혀서 보니 동그라미 친

부분이 반대쪽과 비교해봤을때 빨갛게 부은 것 같습니다

자연치유가 될 수 있을까요?

기타 발열이나 오한이 올 정도로 붓진 않았죠??




  • 1번 째 사진
  • 2번 째 사진
3개의 답변이 있어요!
  • 안녕하세요. 김철진 치과의사입니다.

    잇몸이 자극을 받아서 그런거 같습니다. 염증이 심한건 아니니 시간이 지나면 괜찮아 지실꺼에요.

  • 안녕하세요. 안상우 치과의사입니다.

    해당 부위의 조직은 다른 부분보다 약한 부분이기 때문에 음식을 먹을 때 자극이 됐거나 했다면 손상이 될 수 있습니다.

    하지만 점막은 치유가 잘 되기 때문에 일주일 정도가 지나면 아물게 되며 일주일 후에도 똑같은 증상이 반복된다면 치과에서 진료를 받아보는 것이 좋습니다.

  • 안녕하세요. 최석민 치과의사입니다.

    해당 부위 염증이 있는 상태로 보이며 발열이나 오한은 감염과 주로 상관이 있습니다. 몸 컨디션 좋게 유지하시고, 스케일링 한번 받으시면 증상은 완화될 것 같습니다.