아하
  • 토픽

  • 스파링

  • 잉크

  • 미션


의료상담

고요한오솔개234

고요한오솔개234

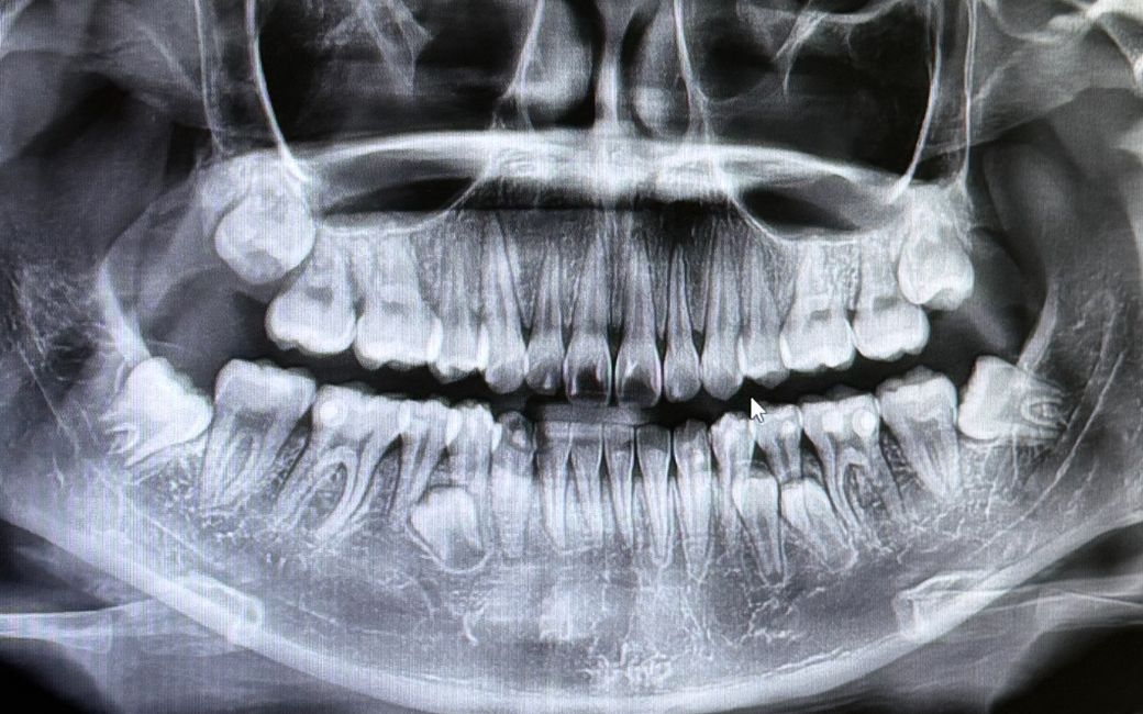
사랑니 이렇게 난 경우 뽑아야하나요?

사진처럼 사랑니가 있는데 4개 다 뽑아야하는 경우인가요? 아니라면 특정 뽑아야하는 이가 있을까요? 그리고 사랑니가 잇몸밖으로 안나오고 그냥 잇몸 안에 저상태 그대로 있을 수도 있나요?

  • 1번 째 사진

5개의 답변이 있어요!

  • 김지훈 치과의사

    김지훈 치과의사

    메가

    안녕하세요. 김지훈 치과의사입니다.

    사랑니 및 과잉치들 빼는 것이 좋겠습니다. 잇몸안에 있을 수도 있으나 안에서도 낭종이되는 등 문제가 생길 수 있습니다.

  • 안녕하세요. 안상우 치과의사입니다.

    사랑니가 잇몸 안에 있다면 문제를 발생시킬 가능성이 적기 때문에 굳이 발치를 하지 않아도 됩니다 사랑니가 기울어져 있거나 부분적으로 맹출되었을 경우 치아의 충치를 유발하거나 치주질환을 유발할 수 있기 때문에 발치를 해 주는 것이 좋습니다.

    자세한 확인을 위해서 치과에서 진료를 받아 보는 것을 권유 드립니다.

  • 안녕하세요. 송우식 치과의사입니다.

    사랑니가 앞의 어금니에 영향을 주고 있기에 이러한 사랑니는 빠른시일내에 발치를 하는 것이 앞의 어금니 손상을 막을 수 있습니다.

    궁금증 해소에 도움이 되시길 바라며, 도움이 되신 경우 '👍 ' 눌러주길 부탁드립니다.

  • 안녕하세요. 김철진 치과의사입니다.

    아직은 다 사랑니 맹출이 다 끝난상태가 아니라서 기다려 봐야겟지만 하악 사랑니는 발치를 해야될 가능성이 높아 보입니다.

  • 안녕하세요. 최석민 치과의사입니다.

    아직 치근(뿌리)형성 및 맹출중인 것 같습니다. 사랑니는 20대 초반까지 맹출하게 되며 주변 치아나 잇몸뼈에 걸려있다면 더이상 나오지 못할 수도 있습니다.

    지금 양상으로는 4개 다 옆 어금니에 영향을 줄 가능성이 있어 보입니다.