아하
  • 토픽

  • 스파링

  • 잉크

  • 미션


의료상담

영민한코요테24

영민한코요테24

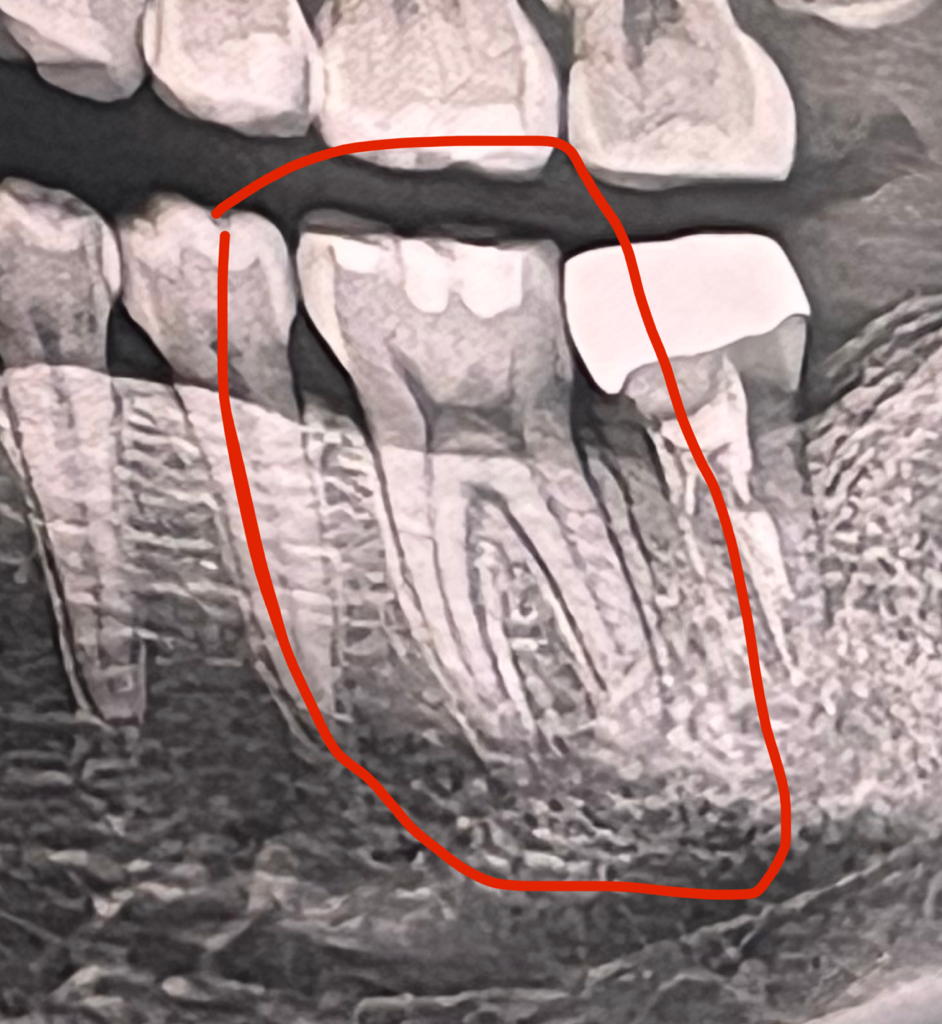
치료 중에 크랙이 생긴걸까요?

오늘 어금니 크라운 제거 후,

안에 있던 충치 긁어내고 소독, 신경치료 했는데요.

치료 받은 옆 어금니에 원래 크랙이 없었던 거 같은데...


크라운을 제거하는 중에 저렇게 됐나 싶어서요.


근데 또 크랙난 부분이 갈색이라

이미 나있던건가 싶으면서도,

치아 살피면서 처음 보는 거 같아서..

치료 중에 난 피나 충치 파낸 게 낀건가 싶기도하고..

모르겠네요ㅠㅠ


+ 혹시 치료 전 엑스레이, CT촬영 했는데

ct에서는 크랙이 확인 가능할까요?







  • 1번 째 사진
  • 2번 째 사진

2개의 답변이 있어요!

  • 안상우 치과의사

    안상우 치과의사

    목동안치과의원

    안녕하세요. 안상우 치과의사입니다.

    검은 부위는 크랙이 아니고 아래쪽으로 나있는 희미한 선이 크랙인것으로 보입니다.

    크랙이 있는 경우 충전재의 틈이 이격되면서 해당부위로 착색이 될수 있어요.

    CT에서는 크게 금이 간치아가 아니면 확인이 힘든경우가 많아요.

  • 안녕하세요. 김철진 치과의사입니다.

    저부위는 크랙간게 아니라 예쩐에 치료받은부분이 변색된거 같습니다. 사진상으로 봐도 크랙이 보이거나 그렇진 않습니다.